โรคที่สำคัญในกุ้งทะเล
นายสัตวแพทย์ ดร.ทินรัตน์ ศรีสุวรรณ์
ศูนย์วิจัยและชันสูตรโรคสัตว์น้ำ สถาบันสุขภาพสัตว์แห่งชาติ
============
โรคที่เกิดจากไวรัส
============
_______________________________________________________________________________
โรคเอ็มบีวี (Spherical baculovirosis หรือ Penaeus monodon-typed baculovirosis หรือ MBV)
_______________________________________________________________________________
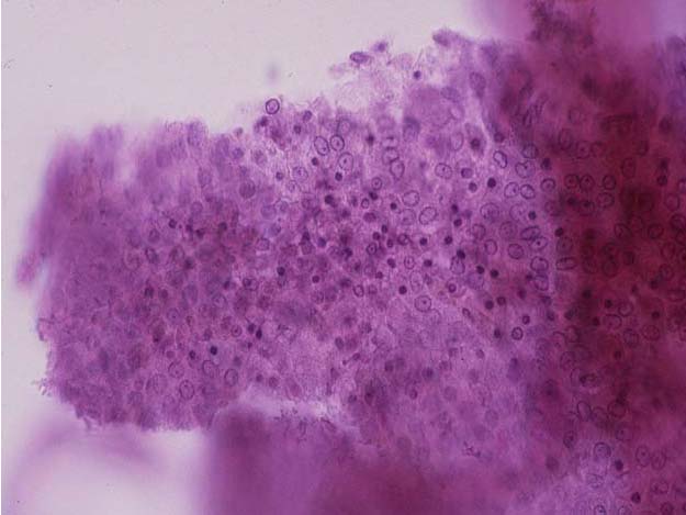
โรคติดเชื้อแบคคูโลไวรัสในกุ้งกุลาดำหรือ MBV เป็นโรคที่พบได้ทั่วไปในประเทศไทย และในหลายภูมิภาคทั่วโลก มีความสำคัญต่ออุตสาหกรรมการเลี้ยงกุ้งส่งออก ความชุกโรคอาจต่ำหรือน้อยกว่า 1 เปอร์เซนต์ในกุ้งธรรมชาติ แต่อาจสูงถึง 100 เปอร์เซนต์ในกุ้งฟาร์ม เกิดจาก Penaeus monodon-types baculovirus หรือ MBV ซึ่งมีขนาด 75x300 นาโนเมตร มีสายพันธุกรรมเป็นดีเอ็นเอสายคู่ มี envelope รูปร่างแท่ง เพิ่มจำนวนในนิวเคลียสของเซลล์

เชื้อ MBV ติดต่อโดยตรงทางการกินเนื้อเยื่อกุ้งที่ติดเชื้อ หรืออุจจาระ น้ำที่ปนเปื้อนเชื้อ กุ้งกุลาดำทุกระยะสามารถติดเชื้อได้ ยกเว้นระยะไข่ และ nauplius ไม่พบว่าติดต่อผ่านสัตว์พาหะ อาการในกุ้งวัยอ่อน (larval stages ได้แก่ ระยะ zoea และ mysis) จนถึงระยะพี (postlarva) อาจพบการตายมากกว่า 90 เปอร์เซนต์ ในขณะที่กุ้งระยะ juvenileและกุ้งโตเต็มวัย อาจติดเชื้อได้แต่ไม่ตาย อาการที่พบได้แก่ อัตราตายการสูง ไขมันในเฮปปาโตแพนเครียส (hepatopancreas) ต่ำ ลำไส้ส่วนกลาง (midgut) มีสีขาว สำหรับรอยโรคเมื่อตรวจด้วยวิธี wet mount พบ spherical occlusion bodies จาก hepatopancreas, midgut หรืออุจจาระ (รูปที่ 4) และเมื่อตรวจทาง จุลพยาธิวิทยา พบintranuclear, eosinophilic, round occlusion bodies ใน epithelial cells ของ hepatopancreas หรือในเซลล์เยื่อบุของ anterior midgut การควบคุมและป้องกัน ไม่มียารักษาโรคหรือวัคซีนป้องกัน แต่มีวิธีหลายวิธีที่อาจใช้ป้องกันโรคได้ วิธีแรกเรียกว่า “ตรวจแล้วทำลาย” ซึ่งทำในโรงเพาะฟักคือตรวจกุ้งพ่อแม่พันธุ์ โดยอาจตรวจอุจจาระ หรือ สุ่มกุ้งมาตรวจทางจุลพยาธิวิทยาซึ่งต้องฆ่ากุ้ง หากพบเชื้อไวรัสใน เฮปปาโตแพน เครียส หรืออุจจาระ ก็ให้ทำลายกุ้งนั้น (ปัจจุบันอาจตรวจด้วยวิธีพีซีอาร์) วิธีที่สองเรียกว่า “
การล้างไข่กุ้งและนอร์เพลียส” อีกวิธีคือ “การเลือกกุ้งโดยใช้ไฟส่อง” เพื่อแยกกุ้งระยะ นอร์เพลียสที่แข็งแรงออกจากกุ้งที่อ่อนแอ การล้างกุ้งนอร์เพลียสนั้น ขั้นแรกคือเลือกกุ้งที่แข็งแรงโดยการส่องไฟ แล้วล้างด้วยน้ำทะเลสะอาดที่ไหลผ่านเป็นเวลา 30 นาที หลังจากนั้นจุ่มกุ้งลงในน้ำผสมฟอร์มาลินที่ความเข้มข้น 300 ppm เป็นเวลา 30 วินาที ตามด้วยการจุ่มกุ้งลงในน้ำผสมไอโอดีน (ไอโอโดฟอร์) ที่ความเข้มข้น 50-200 ppm เป็นเวลา 30 วินาที แล้วล้างต่อในน้ำทะเลสะอาดอย่างน้อย 3 นาที แล้วจึงย้ายลงไปเลี้ยงในถังเพาะฟัก

รูปที่ 4 Occlusion bodies ของ MBV คงตัวอยู่ได้นาน 30 นาที
___________________________________________________________
โรคบีพี (Tetrahedral Baculovirosis หรือ Baculovirus penaei หรือ BP)
___________________________________________________________
โรคบีพีเป็นโรคสำคัญที่มีความสำคัญต่ออุตสาหกรรมการเลี้ยงกุ้ง และเป็นโรคที่เกี่ยวข้องกับเงื่อนไขการค้ากุ้งระหว่างประเทศ ทำให้เกิดความสูญเสียเป็นอย่างมากในอุตสาหกรรมโดยเฉพาะในโรงเพาะฟักลูกกุ้ง พบในหลายประเทศในทวีปอเมริกา ยังไม่เคยมีรายงานโรคนี้ในซีกโลกตะวันออก รวมทั้งประเทศไทย เกิดจากเชื้อแบคคูโลไวรัสที่เรียกว่า Tetrahedral baculovirus หรือ Baculovirus penaei (BP) ติดต่อโดยตรงทางการกินเนื้อเยื่อกุ้ง อุจจาระและน้ำที่ปนเปื้อนเชื้อ กุ้งทุกสปีชีส์และ ทุกระยะสามารถติดเชื้อได้ ยกเว้นระยะไข่และระยะนอร์เพลียส (nauplius) ไม่พบสัตว์พาหะตามธรรมชาติ แต่จากการทดลองพบว่าโรติเฟอร์บางชนิดและไรอาร์ทีเมีย (Artemia salina) ในระยะนอร์เพลียสสามารถเป็นพาหะนำเชื้อไปสู่กุ้งขาววานนาไม (Litopenaeus vannamei) ได้

รูปที่ 5 Occlusion bodies ของ BP จากอุจจาระ
อาการในกุ้งวัยอ่อน (larval stages ได้แก่ระยะ zoea และ mysis) จนถึงระยะพี (postlarva) อาจพบการตายมากกว่า 90 เปอร์เซนต์ ในขณะที่กุ้งระยะ juvenile และกุ้งโตเต็มวัย อาจติดเชื้อแต่ไม่ตาย อาการที่พบได้แก่ อัตราตายสูงในกุ้งวัยอ่อน ไขมันในเฮปปาโตแพนเครียสต่ำ ลำไส้ส่วนกลางมีสีขาว ในกลุ่มประชากรกุ้งที่ติดเชื้อถาวร อาจทำให้โตช้าและผลิตผลต่ำ รอยโรคเมื่อตรวจด้วยวิธี wet mount พบ tetrahedral occlusion bodies จากเฮปปาโตแพนเครียส ลำไส้ส่วนกลาง หรืออุจจาระ (รูปที่ 5) และเมื่อตรวจทางจุลพยาธิวิทยา พบ intranuclear eosinophilic triangular occlusion bodies ในเซลล์เยื่อบุ (epithelial cells) ของเฮปปาโตแพนเครียสหรือ anterior midgut การควบคุมและป้องกันใช้วิธีการเช่นเดียวกับโรคแบคคูโลไวรัสในกุ้งกุลาดำ (MBV)
____________________________________________________
โรคบีเอ็มเอ็น (Baculoviral Midgut-gland Necrosis หรือ BMN)
____________________________________________________
โรคบีเอ็มเอ็นเคยเป็นโรคสำคัญที่มีผลกระทบต่อการค้ากุ้งระหว่างประเทศ โดยพบการระบาดหนักในราวปี พ.ศ 2533 ในประเทศแถบเอเชียตะวันออก เช่น ญี่ปุ่น เกาหลี ฟิลิปปินส์ ซึ่งทำให้เกิดความสูญเสียต่อกุ้ง Marsupenaeus japonicus และทางภาคตะวันออกเฉียงเหนือของออสเตรเลีย ซึ่งพบในกุ้งกุลาดำ Penaeus monodon ส่วนที่ประเทศฟิลิปปินส์ก็มีไวรัสที่คล้ายๆ แบคคูโลไวรัส ซึ่งพบในกุ้งกุลาดำเช่นกัน แต่ภายหลังปี พ.ศ. 2538 ก็ไม่พบการระบาดของโรคนี้แล้วในหลายประเทศ ทั้งนี้อาจเนื่องมาจากการควบคุมและป้องกันที่มีประสิทธิภาพดี เกิดจากเชื้อแบคคูโลไวรัส ชนิดที่ไม่ทำให้เกิด Occlusion bodies มี envelope อันเดียว รูปแท่ง มีสายพันธุกรรมเป็นดีเอ็นเอสายคู่และมีการเพิ่มจำนวนภายในนิวเคลียส การติดต่อไม่ทราบแน่ชัด แต่คาดว่าติดต่อทางการกิน ระยะของกุ้งที่ไวต่อเชื้อคือกุ้งวัยอ่อน ได้แก่ระยะ zoea และ mysis จนถึงระยะพี 5(postlarva, P5) แต่กุ้งวัยรุ่น (juveniles) และกุ้งโตเต็มวัยก็ติดเชื้อได้เช่นกัน แต่มักไม่แสดงอาการอาการในกุ้งวัยอ่อนคือ zoea และ mysis จนถึง P5 อาจพบการตายมากกว่า 90 เปอร์เซนต์ โดยเฉพาะในรายที่ติดเชื้อรุนแรง รอยโรคจากการตรวจเฮปปาโตแพนเครียส ลำไส้ส่วนกลางหรืออุจจาระ ด้วยวิธี wet mount พบนิวเคลียสขนาดใหญ่ (hypertrophied nuclei) โดยไม่พบ นิวคลีโอลัส และเมื่อตรวจทางจุลพยาธิวิทยาพบนิวเคลียสขยายใหญ่ และ eosinophilic จนถึง pale basophilic inclusions ภายในเซลล์เยื่อบุของเฮปปาโตแพนเครียส หรือลำไส้ส่วนกลาง การควบคุมและป้องกันใช้วิธีการเช่นเดียวกับโรคแบคคูโลไวรัสในกุ้งกุลาดำ (MBV)
______________________________
โรคดวงขาว (White Spot Syndrome)
______________________________
โรคดวงขาวเป็นโรคที่สำคัญที่สุดในกุ้งทะเล ประมาณกันว่าตั้งแต่ปี พ.ศ. 2536 เป็นต้นมา โรคนี้ทำให้เกิดความเสียหายทางเศรษฐกิจมากถึงหนึ่งหมื่นล้านดอลล่าห์สหรัฐฯทั่วโลก และพบได้แทบทุกภูมิภาค ในหลายประเทศ (Wang et al., 1999; 2000) รวมถึงประเทศไทยก็พบโรคนี้เช่นกัน โรคนี้เป็นโรคที่มีผลกระทบต่ออุตสาหกรรมการเลี้ยงกุ้ง รวมถึงการค้าระหว่างประเทศอย่างมาก เกิดจากเชื้อไวรัสดวงขาว ที่เรียกว่า White Spot Syndrome Virus หรือ WSSV (Tang and Lightner, 2000) ซึ่งมีขนาด 130 x 350 นาโนเมตร (ขนาดใหญ่ที่สุดในบรรดาไวรัสกุ้ง) มี envelope รูปไข่ มีหางตรงปลายยอด nucleocapsid เป็นรูปแท่ง เป็นไวรัสที่มีดีเอ็นเอนสายคู่ สายดีเอ็นเอเป็นวง ขดเป็นเกลียว ขนาดประมาณ 305 Kb ไวรัสนี้เพิ่มจำนวนภายในนิวเคลียส ถูกทำลายได้ด้วยความร้อนที่อุณหภูมิ 50 องศาเซลเซียสเป็นเวลา 120 นาทีหรือ 60 องศาเซลเซียสเป็นเวลา 1 นาที เชื้อมีชีวิตอยู่ได้ในน้ำทะเลเป็นเวลาอย่างน้อย 30 วันและอยู่ในบ่อเลี้ยงกุ้งได้ 3 ถึง 4 วัน (Nunan and Lightner, 1997; Poulos et al., 2001) กุ้งติดเชื้อนี้ได้หลายทาง เช่น จากการกินกุ้ง หรือน้ำที่มีเชื้อปนเปื้อน เชื้อไวรัสนี้ผ่านไข่ไปยังกุ้งรุ่นต่อไปได้ กุ้งที่ไม่แสดงอาการก็แพร่เชื้อได้ และพบว่ากุ้งทุกระยะตั้งแต่ไข่จนถึงระยะพ่อแม่พันธุ์ป่วยเป็นโรคได้ นอกจากนี้ยังพบว่าเชื้อไวรัสดวงขาวก่อโรคในสัตว์หลายชนิดมากกว่า 50 สปีชีส์ เช่น ปู กุ้งน้ำจืด กุ้งมังกร และยังพบสัตว์พาหะนำโรคหลายชนิด เช่น อาร์ทีเมีย เป็นต้น ในปี พ.ศ. 2538 สำหรับในทวีปอเมริกา พบโรคดวงขาวครั้งแรกที่รัฐเท็กซัส สหรัฐอเมริกา จากกุ้ง Litopenaeus stylirostris หลังจากนั้นก็มีการแพร่ระบาดและทำความเสียหายมากทั้งใน L. stylirostris และกุ้งขาว L. vannamei ในหลายประเทศ เช่น เม็กซิโก บราซิล นอกจากนี้ยังพบไวรัสจากกุ้งที่จับได้จากธรรมชาติ รวมทั้งเคยพบในสัตว์จำพวกกุ้งน้ำจืด crayfish จากสวนสัตว์อีกด้วย และที่น่าเป็นห่วงมากน่าจะเป็นการตรวจพบเชื้อ WSSV จากกุ้งแช่แข็งนำเข้าที่มีต้นกำเนิดมาจากหลายประเทศ สำหรับกุ้งสดและกุ้งระยะพีหรือกุ้งพ่อแม่พันธุ์ก็อาจพบเชื้อได้เช่นกัน (Durand et al., 2003)

รูปที่ 6 กุ้งที่เป็นโรคดวงขาว
อาการที่สำคัญที่สุดคือ อัตราการตายสูงถึง 100 เปอร์เซนต์ภายในเวลาเพียง 3 วันหลังติดเชื้อ ส่วนอาการอื่นๆ ได้แก่ การกินอาหารลดลงฉับพลัน ตัวกุ้งมีสีแดง ซึ่งพบได้ในกุ้งกุลาดำ กุ้งขาววานนาไม และเปลือกกุ้งอ่อน ลอกหลุดง่าย และมีจุดหรือดวงขาว (รูปที่ 6 ) ขนาดตั้งแต่ 0.5 ถึง 2 มิลลิเมตรบริเวณใต้เปลือกชั้นคิวติเคิล (ในกุ้งที่มีถิ่นกำเนิดจากซีกโลกตะวันตก ไม่ค่อยพบอาการดวงขาว) รอยโรคที่มองเห็นได้ด้วยตาเปล่า คืออาการตัวแดงดวงขาว ดังได้กล่าวมาแล้ว สำหรับรอยโรคทางจุลพยาธิวิทยา เมื่อตรวจด้วยวิธี wet mount พบนิวเคลียสของเซลล์ขยายใหญ่ (hypertrophied nuclei) จากเนื้อเยื่อบดของเหงือกหรือจากเซลล์เยื่อบุคิวติเคิลต่างๆ ซึ่งมองเห็นได้ทั้งจากตัวอย่างที่ย้อมและไม่ย้อมสี สำหรับตัวอย่างดองแล้วย้อมสี พบรอยโรคสำคัญทางจุลพยาธิวิทยา คือ pathognomonic intranuclear inclusion bodies ในอวัยวะเป้าหมายหลายอวัยวะ โดยเฉพาะที่เยื่อบุคิวติเคิล (cuticular epithelium) และเนื้อเยื่อเกี่ยวพันใต้คิวติเคิล (subcuticular connective tissues) เช่น เนื้อเยื่อกระเพาะอาหาร เนื้อเยื่อฮีมาโตปอยอีติก(hematopoietic tissue) เหงือก ต่อมแอนเทนนัล อวัยวะลิมฟอยด์ (lymphoid organ) และเซลล์ใต้ carapace ทั่วไป เช่นที่แพนหาง (uropod) การควบคุมและป้องกัน โรคนี้ไม่มีวิธีรักษาที่ได้ผล หากพบว่ากุ้งป่วยเป็นโรคนี้ ต้องคัดทิ้งทั้งบ่อ สำหรับมาตรการการจัดการโรคดวงขาวนั้น อาจปฏิบัติได้ดังนี้ 1) การเพิ่มความปลอดภัยทางชีวภาพภายในฟาร์ม ได้แก่ การบำบัดน้ำที่ใช้เลี้ยงกุ้ง เพื่อกำจัดหรือทำลายพาหะตามธรรมชาติ การลดความหนาแน่นในการเลี้ยงลง 2) การเลี้ยงกุ้งปลอดเชื้อ (WSSV-free) 3) การเพิ่มอุณหภูมิน้ำให้สงขึ้น มีรายงานว่า อุณหภูมิน้ำเป็นปัจจัยทางสิ่งแวดล้อมอย่างหนึ่งที่มีผลทำให้เชื้อไวรัสดวงขาวลดการเพิ่มจำนวนได้ โดยมีการแนะนำให้เกษตรกรในหลายประเทศในทวีปอเมริกาลดการทำฟาร์มกุ้งลงในช่วงฤดูหนาว รวมทั้งมีการใช้เรือนกระจก (greenhouse) หรือโรงเลี้ยงแบบปิด
______________________________________________________________________________________________________________
โรคไอเอชเอชเอ็นและโรคแคระแกร็น (Infectious Hypodermal and Hematopoietic Necrosis หรือ IHHN และ Runt Deformity Syndrome หรือ RDS)
______________________________________________________________________________________________________________
โรคไอเชเอชเอ็นและโรคแคระแกร็นเป็นโรคสำคัญของกุ้งทะเล และมีผลกระทบต่อการค้ากุ้งและผลิตภัณฑ์กุ้งระหว่างประเทศ โรคนี้พบครั้งแรกที่เกาะฮาวาย ประเทศสหรัฐอเมริกา เมื่อปี พ.ศ. 2524 ในกุ้ง Litopenaeus stylirostris โดยการระบาดครั้งนั้นทำให้กุ้งตายมากกว่า 90 เปอร์เซนต์ (Bell and Ligthner, 1984) ปัจจุบันพบโรคนี้พบทั้งซีกโลกตะวันตก คือทวีปอเมริกาใต้ อเมริกากลาง เม็กซิโก และซีกโลกตะวันออก คือเอเชียตะวันออกและเอเชียตะวันออกเฉียงใต้ ประมาณกันว่าทำให้เกิดความสูญเสียทางเศรษฐกิจต่ออุตสาหกรรมการเลี้ยงกุ้งมากถึงหนึ่งพันล้านดอลล่าห์สหรัฐฯ นอกจากนี้ยังอาจพบเชื้อในกุ้งที่จับได้จากธรรมชาติอีกด้วย สันนิษฐานว่ามีการพัฒนาการต้านเชื้อในกุ้ง L. stylirostris ซึ่งอาจเกิดจากการคัดสรรตามธรรมชาติ ทั้งนี้เนื่องจากระยะหลังๆ ไม่พบกลุ่มประชากรกุ้งที่ไวต่อการติดเชื้ออย่างมากอีกแล้ว ทั้งสองโรคเกิดจากการติดเชื้อพาร์โวไวรัสที่เรียกว่า Infectious Hypodermal and Hematopoietic Necrosis Virus หรือไอเอชเอชเอ็นวี (IHHNV) ซึ่งเป็นไวรัสที่มีดีเอ็นเอสายเดี่ยว ขนาด 20 นาโนเมตร (Lu et al., 1989; Mari et al., 1993) ไวรัสเพิ่มจำนวนในนิวเคลียส การติดต่อส่วนใหญ่เกิดจากการสัมผัสกับกุ้งที่มีเชื้อ แต่อย่างไรก็ตามพบว่าเชื้อไวรัสชนิดนี้ผ่านจากพ่อแม่กุ้งไปสู่ลูกกุ้งรุ่นต่อไปได้ (Motte et al., 2003) สาเหตุที่เรียกโรคเป็นสองชื่อต่างกันเช่นนี้ เนื่องจากโรคไอเอชเอชเอ็น มักทำให้เกิดการตายเฉียบพลันอย่างรุนแรง โดยเฉพาะในกุ้ง L. stylirostris ในขณะที่โรคแคระแกร็น (RDS) เป็นโรคติดเชื้อเรื้อรังที่เกิดจากเชื้อ IHHNV ในกุ้งขาววานนาไม (L. vannamei), L. stylirostris, กุ้งกุลาดำ (Penaeus monodon) และกุ้งอื่นๆ (Tang et al., 2003) อาการของโรคไอเอชเอชเอ็น มักพบในกุ้งระยะ P35 จนถึงระยะก่อนวัยเจริญพันธุ์ ซึ่งทำให้เกิดการตายรุนแรงเฉียบพลันมากถึง 80-90 เปอร์เซนต์ ส่วนอาการอื่นๆ เช่น ตัวกุ้งมีสีน้ำเงิน ซึม เบื่ออาหาร เปลือกเป็นลายคล้ายหินอ่อน ในขณะที่กุ้งโตเต็มวัยที่เป็นโรคอาร์ดีเอส มักติดเชื้อเรื้อรัง แสดงอาการแคระแกร็น การเจริญเติบโตลดลง อาการที่สังเกตได้ง่ายคือ ความผิดรูปของคิวติเคิล ได้แก่ กรีโค้งงอ (bent rostrum) หนวดกุ้งเปราะ หงิกงอ (brittle, wrinkled antenna) หัวกุ้งกรอบๆ (bubble head) และการผิดรูปที่ปล้องท้องอันที่ 6 อัตราการตายน้อยแต่กุ้งมีขนาดแตกต่างกันมาก (ขนาดแตกต่างสะสม 30 ถึง 90 เปอร์เซนต์) (รูปที่ 7) รอยโรคจำเพาะทางจุลพยาธิวิทยาคือ pathognomonic inclusion bodies ภายในนิวเคลียสของเซลล์ในอวัยวะเป้าหมาย ซึ่งได้แก่ เหงือก เยื่อบุคิวติเคิล ต่อมแอนเทนนัล เนื้อเยื่อเกี่ยวพัน อัณฑะ วาสเดฟเฟอเรนส์ (vas deferens) รังไข่ ปมประสาท ไข ประสาท เนื้อเยื่อฮีมาโตปอยอีติก (hematopoietic tissue) เป็นต้น

รูปที่ 7 กุ้งที่เป็นโรค IHHN/RDS จากบ่อเดียวกัน
มีขนาดแตกต่างกันมาก โดยเฉพาะกลุ่มขวาซึ่งมีขนาดเล็กมากการควบคุมและป้องกัน ไม่มีการรักษา ต้องคัดทิ้ง และอาจเพาะเลี้ยงกุ้งสายพันธุ์ที่มี ความต้านทานโรค สำหรับเทคนิคการจัดการโรคไอเอชเอชเอ็นและโรคแคระแกร็นที่ปฏิบัติกัน มีดังนี้ 1) การเลี้ยงกุ้งขาว L. vannamei เพียงอย่างเดียว หรือเลี้ยงในอัตรา 5 ต่อ 1 ร่วมกับ L. stylirostris 2) การใช้ลูกกุ้งที่เพาะเลี้ยง (lab seed) และหลีกเลี่ยงการใช้ลูกกุ้งจากธรรมชาติ (wild seed) เนื่องจากลูกกุ้งที่ได้จากห้องทดลองมีความชุกโรคของโรคแคระแกร็นและโรคไอเอ
ชเอชเอ็นต่ำกว่า จึงปลอดภัยที่จะนำมาเลี้ยงมากกว่า 3) หลีกเลี่ยงการเลี้ยงที่ความหนาแน่นสูง โดยเฉพาะในบ่ออนุบาลลูกกุ้ง 4) การใช้กุ้งขาว L. vannamei ที่ปลอดเชื้อ (Specific-Pathogen Free, SPF) โดยเฉพาะในพื้นที่ที่มีการระบาดของโรคเป็นประจำ และ 5) การใช้กุ้ง L. stylirostris ที่ปลอดเชื้อ หรือกุ้งที่ต้านทานเชื้อ ซึ่งบางสายพันธุ์ต้านทานทั้งเชื้อไวรัส IHHNV และ TSV (Tang et al., 2000; and Tang and Lightner, 2001; 2002; 2006)
_____________________________________________
โรคเอชพีวี (Hepatopancreatic Parvovirus หรือ HPV)
_____________________________________________
โรคติดเชื้อพาร์โวไวรัสในเฮปปาโตแพนเครียสหรือโรคเอชพีวี เป็นโรคสำคัญโรคหนึ่งของกุ้งทะเล พบครั้งแรกเมื่อปี พ.ศ. 2525 ที่ประเทศสิงคโปร์และจีนในกุ้งแชบ๊วย Fenneropenaeus merguiensis และกุ้งจีน Fe. chinensis หลังจากนั้นก็พบได้ทั่วไปในทวีปเอเชีย ภูมิภาคอินโดแปซิฟิก ทวีปออสเตรเลีย ทวีปแอฟริกาตะวันออก และภูมิภาคตะวันออกกลาง และในปี พ.ศ. 2531-2532 พบที่ประเทศบราซิล ในกุ้งกุลาดำ Penaeus monodon และ Fe. penicillatus ที่นำเข้าจากประเทศไต้หวัน ในปี พ.ศ.2533-2537 พบในกุ้งขาววานนาไม Litopenaeus vannamei ที่เลี้ยงในประเทศเอกวาดอร์ เปรู ในรัฐเทกซัส สหรัฐอเมริกา และทั้งสองแนวชายฝั่งของประเทศเม็กซิโก ในปี พ.ศ. 2534-2535 พบได้จากกุ้งขาววานนาไมและกุ้ง L. stylirostris ที่จับจากธรรมชาตินอกชายฝั่งของรัฐ Nayarit รัฐ Sinaloa และรัฐ Guerrero ของประเทศเม็กซิโก อย่างไรก็ตามยังไม่เคยมีรายงานการระบาดหนักของโรคนี้ในภูมิภาคใดเลยแม้แต่เพียงครั้งเดียว สาเหตุเกิดจากเชื้อพาร์โวไวรัสที่เรียกว่า Hepatopancreatic Parvovirus (HPV)(Pantoja and Lightner, 2000; 2001) ซึ่งเป็นไวรัสที่มีดีเอ็นเอสายเดี่ยว มีความยาวประมาณ 5,000 นิวคลีโอไทด์ ขนาดเส้นผ่าศูนย์กลางของไวริออน (virion) เท่ากับ 22 นาโนเมตร มีรูปร่างแบบ icosahedral การติดต่อเกิดจากการสัมผัสเชื้อจากกุ้งที่เป็นโรค โดยเฉพาะในกุ้งวัยอ่อนและ กุ้งพี (postlarva) ระยะแรกๆ จนถึงกุ้งวัยรุ่น (juveniles) พบว่าไวต่อการติดเชื้อมากที่สุด ส่วนในกุ้งโตเต็มวัยไม่ทราบผลกระทบที่แน่นอน นอกจากนี้คาดว่าเชื้อไวรัสนี้อาจผ่านจากพ่อแม่กุ้งมาสู่ลูกกุ้งได้ด้วย และยังพบเชื้อไวรัส HPV ได้ในกุ้งและสัตว์จำพวกที่ใกล้เคียงกันอีกหลายสปีชีส์ ในแทบทุกภูมิภาคทั่วโลก

รูปที่ 8 Intranuclear inclusion bodies ของ HPV ในกุ้งกุลาดำ
อาการของโรคเอชพีวีนี้อาจเริ่มวินิจฉัยได้ตั้งแต่กุ้งระยะ zoea เป็นต้นไป แต่อาการในกุ้งระยะนี้ไม่เด่นชัด ส่วนในกุ้งพี (postlarva) กุ้งวัยรุ่น (juveniles) และกุ้งโตเต็มวัย อาจทำให้เกิดอัตราการตายสูงเรื้อรัง (อาจมากถึง 100 เปอร์เซนต์ ในกุ้งพีระยะท้ายจนถึงกุ้งวัยรุ่นระยะต้นๆที่เลี้ยงที่ความหนาแน่นสูง) และอาจเป็นสาเหตุให้กุ้งพีมีอัตรารอดต่ำในถังหรือบ่ออนุบาล ในกุ้งวัยรุ่นอาจทำให้การเจริญเติบโตช้า (ซึ่งคล้ายกับโรคแคระแกร็นหรืออาร์ดีเอส) สำหรับการติดเชื้อในกุ้งกุลาดำ Penaeus monodon และกุ้ง Fe. chinensis ที่โตเต็มวัย อาจไม่แสดงอาการใดๆ แต่ก็เคยพบรายงานการตายในกุ้งขาว L. vannamei รอยโรคสำคัญทางจุลพยาธิวิทยาคือ characteristic intranuclear inclusion bodies ภายในเซลล์เยื่อบุท่อของเฮปปาโตแพนเครียส (รูปที่ 8) ซึ่งตรวจพบได้โดยการย้อมด้วยสี hematoxylin & eosin สี Giemsa หรืออาจพบได้จากการตรวจด้วยวิธี wet mount โดยการย้อมด้วยสีมาลาไคท์กรีน หรือใช้วิธีอินซิตูไฮบริไดเซชั่น (in situ hybridization) ด้วย DNA probe จำเพาะ (Sukhumsirichart et al., 1999) การควบคุมและป้องกัน โรคนี้ไม่มีวิธีรักษา แต่อาจป้องกันได้โดยการตรวจพ่อแม่พันธุ์ ด้วยวิธีพีซีอาร์ในอุจจาระ ซึ่งเป็นวิธีที่มีประสิทธิภาพสูง ไม่ทำให้กุ้งบอบช้ำ และเคย
ประสบความสำเร็จมาแล้วในโครงการตรวจคัดเลือกพ่อแม่พันธุ์กุ้งจีน Fenneropenaeus chinensis ในประเทศจีน
_________________________________________________
โรคเอสเอ็มวี (Spawner-isolated Mortality Virus หรือ SMV)
_________________________________________________
โรคเอสเอ็มวีทำให้เกิดการตายติดเชื้อในกุ้งระยะวางไข่ เคยเป็นโรคที่มีความสำคัญต่อการค้ากุ้งและผลิตภัณฑ์กุ้งระหว่างประเทศในอดีต โดยเคยพบแพร่ระบาดในประเทศออสเตรเลีย ฟิลิปปินส์ และอาจมีในประเทศแถบอินโดแปซิฟิก เกิดจากเชื้อพาร์โวไวรัสที่เรียกว่า Spawner-isolated Mortality Virus หรือเอสเอ็มวี (SMV) มีขนาด 20 นาโนเมตร รูปร่างแบบ icosahedral ไวรัสเป็นดี-เอ็นเอสายเดี่ยว ขนาดประมาณ 4,000 นิวคลีโอไทด์ มีการเพิ่มจำนวนในนิวเคลียส แต่เชื้อไวริออน (virion) สะสมในไซโตปลาสซึม
ของเซลล์ โรคนี้ตามธรรมชาติพบในกุ้งกุลาดำ Penaeus monodon และใน Cherax quadricarinatus สำหรับในกุ้งขาว Litopenaeus vannamei และกุ้ง L. stylirostris ก็อาจเป็นโรคได้จากการทดลองแต่ค่อนข้างต้านทานต่อเชื้อ การวินิจฉัยโรคนี้ค่อนข้างยาก เพราะมักต้องใช้กล้องจุลทรรศน์อิเล็กตรอน
_______________________
โรคโอปอล (Opal disease)
_______________________
โรคโอปอลนี้พบในกุ้งที่อาศัยในคลองส่งน้ำ และบ่อพักน้ำที่ใช้เลี้ยงกุ้งในฟาร์ม สาเหตุที่โรคถูกเรียกเช่นนี้ ก็เพราะกุ้งที่เป็นโรคมักจะมีสีขาวนวล คล้ายหินโอปอล (ภาษาไทยเรียกว่ามุกดา) หรือคล้ายสีของไข่มุก นอกจากนี้ยังทำให้เกิดการตายเกือบ 100 เปอร์เซนต์ โรคนี้พบในกุ้ง Titi shrimp (Protrachypene precipua) ในประเทศเอกวาดอร์และพบในกุ้งที่ประเทศมาดากัสการ์ ซึ่งชาวพื้นเมืองที่นั่นเรียกว่า Chevaquine (Acetes erythraes) และมักพบว่ากุ้งพีเนียดไม่เป็นโรคนี้ เกิดจากเชื้ออิริโดไวรัสในกุ้ง (shrimp iridovirus) ซึ่งมีดีเอ็นเอสายคู่ ขนาด 136 ไมครอน มี envelope รูปร่างแบบ icosahedral ไวรัสชนิดนี้เพิ่มจำนวนในไซโตปลาสซึม รอยโรคจำเพาะ ได้แก่ การถูกทำลายของเซลล์เยื่อบุคิวติเคิล และ basophilic inclusions ที่เห็นได้ชัดเจนอยู่เต็มภายในไซโตปลาสซึม
________________________
โรคทอร่า (Taura syndrome)
________________________
โรคทอร่า เป็นโรคสำคัญโรคหนึ่งของกุ้งทะเล และเป็นโรคที่มีผลกระทบต่อการค้าและการขนส่งกุ้งระหว่างประเทศ โดยมีการประมาณกันว่านับตั้งแต่ปี พ.ศ. 2534-2535 เป็นต้นมา โรคทอร่าก่อให้เกิดความสูญเสียทางเศรษฐกิจต่ออุตสาหกรรมการเลี้ยงกุ้งและการค้ากุ้งมากถึง 1 ถึง 2 พันล้านดอลล่าห์สหรัฐฯ (Lightner et al., 1995; Overstreet et al., 1997) พบได้ทั่วโลกรวมทั้งในประเทศไทย และยังพบการระบาดประปรายในประเทศต่างๆ เช่น การระบาดที่รัฐเท็กซัส สหรัฐอเมริกา ในปี พ.ศ. 2547 เป็นต้น สาเหตุเกิดจากเชื้อไวรัสที่เรียกว่า Taura Syndrome Virus (TSV) (Hasson et al., 1995) ซึ่งมีการเพิ่มจำนวนในไซโตปลาสซึมของเซลล์ มีรูปร่างแบบ icosahedral ขนาด 31-32 นาโนเมตร มีสายพันธุกรรมเป็นอาร์เอ็นเอสายเดี่ยว มีความยาวประมาณ 10,205 นิวคลีโอไทด์ (Bonami et al., 1997; Mari et al., 1998; 2002; Nunan et al., 1998a; 2004) ปัจจุบันในปี พ.ศ. 2550 ถูกจัดอยู่ในวงศ์ใหม่ชื่อ Dicistroviridae (Mayo, 2005) ติดต่อจากกุ้งสู่กุ้งได้โดยการกินเนื้อกุ้งที่มีเชื้อ นอกจากนี้ยังคาดว่าเชื้อไวรัสแพร่ได้ผ่านน้ำ กุ้งระยะที่เป็นโรคนี้ส่วนใหญ่ได้แก่กุ้งพี (ระยะ postlarva) กุ้งวัยรุ่น (juveniles) และกุ้งโตเต็มวัย (Tang et al., 2004; Tu et al., 1999) อาการแบ่งออกเป็น 3 ระยะ คือ 1) ระยะต้นหรือระยะเฉียบพลัน (1 ถึง 7 วันหลังติดเชื้อ) ทำให้ตาย การสูญเสียหน้าที่ของคิวติเคิล โดยเฉพาะระหว่างลอกคราบ อาจพบโรคติดเชื้อวิบริโอแทรกซ้อน และมีการสูญเสียหน้าที่ในการรักษาออสโมซิส 2) ระยะกลาง (5 ถึง 8 วันหลังติดเชื้อ) ทำให้ตาย โรคติดเชื้อวิบริโอแทรกซ้อน และการสูญเสียหน้าที่ในการรักษาออสโมซิส และ 3) ระยะปลายหรือระยะเรื้อรัง (6 วัน ถึงมากกว่า 12 เดือนหลังติดเชื้อ) มีการติดเชื้อถาวร (อาจเป็นตลอดชีวิต) ไวรัสโรคทอร่ามีอย่างน้อย 3 จีโนไทป์ เช่น จีโนไทป์อเมริกัน เอเชียและเบลิซ (Belize) สำหรับจีโนไทป์ที่มีความรุนแรงที่สุดคือ เบลิซ ซึ่งทำให้อัตราการตายสูงถึง 100 เปอร์เซนต์ (Erickson et al., 2002; 2005; Tang and Lightner, 2005) ในขณะที่จีโนไทป์อื่นทำให้เกิดอัตราการตายน้อยกว่า เช่น จีโนไทป์อเมริกัน ทำให้เกิดอัตราการตาย 70-80 เปอร์เซนต์ ซึ่งจะต้องนำข้อเท็จจริงของการที่มีหลายจีโนไทป์เช่นนี้มาร่วมพิจารณา ในกรณีที่จะพัฒนาชุดทดสอบเชื้อหรือการออกแบบการทดลองเชื้อในกุ้งมีชีวิต ส่วนอาการอื่นๆ ที่อาจสังเกตได้ ได้แก่ การตายของเซลล์เยื่อบุคิวติเคิล (ซึ่งอาจสังเกตได้ที่ครีบหาง) และจุดดำตามตัวกุ้งรอยโรคที่มองเห็นได้ด้วยตาเปล่า คือ จุดดำตามตัวกุ้ง (ซึ่งเกิดจาก melanization) สำหรับรอยโรคทางจุลพยาธิวิทยา ได้แก่characteristic multifocal severe necrosis ซึ่งก็คือการตายของเซลล์เยื่อบุคิวติเคิล ระยางค์ เหงือก กระเพาะอาหาร ทำให้เกิดรอยโรคจำเพาะที่เรียกว่า “peppered” หรือ
“buckshot riddled” appearance ซึ่งมีสาเหตุมาจากการหดตัวและแตกตัวของนิวเคลียส (darkly pyknotic และ karyorhectic nuclei) ของเซลล์ที่ติดเชื้อ และกลุ่มก้อนของ เชื้อในไซโตปลาสซึม (eosinophilic cytoplasmic masses of TSV) (รูปที่ 9) นอกจากนี้ยังอาจพบกลุ่มของแบคทีเรีย (bacterial colonization) ที่ผนังกระเพาะอาหารด้านใน ซึ่งเกิดจากการติดเชื้อแทรกซ้อน (มักเกิดจากเชื้อวิบริโอ) ส่วนในระยะเรื้อรัง มักไม่พบรอยโรคตามที่กล่าวมาข้างต้น แต่พบ lymphoid organ spheroids ที่อวัยวะลิมฟอยด์ อย่างไรก็ตาม รอยโรคนี้อาจพบได้ในโรคหรือกลุ่มอาการอื่นๆ ด้วย เช่น โรคกล้ามเนื้อตายติดต่อ เป็นต้น) การควบคุมและป้องกัน ทั้งที่เป็นเทคนิคเก่าและใหม่ เช่น 1) ใช้กุ้งขาว L. vannamei ที่ปลอดเชื้อหรือที่ต้านทานเชื้อ ซึ่งสามารถเพิ่มอัตราการอยู่รอดเมื่อจับกุ้งได้ 20 ถึง 90 เปอร์เซนต์ 2) ใช้กุ้ง L. vannamei ที่ปลอดเชื้อในพื้นที่ที่กำจัดเชื้อไวรัส TSV แล้ว ซึ่งวิธีนี้ถูกนำมาปฏิบัติแล้วในหลายประเทศ เช่น เบลิซ ซึ่งกำจัดเชื้อได้ในปี พ.ศ. 2539-40 3) เลี้ยงกุ้ง L. stylirostris สายพันธุ์ที่ต้านทาน เชื้อซึ่งมีหลายบริษัทผลิตขึ้น 4) การเลี้ยงกุ้งร่วมกับปลานิลหรือปลาทับทิม โดยการปล่อยทั้งลูกกุ้งและลูกปลาพร้อมๆกัน ปลาจะช่วยกินซากกุ้งที่เป็นโรคตาย ช่วยป้องกันการติดเชื้อจากกุ้งสู่กุ้งโดยการกินกันเอง วิธีนี้จะได้ผลผลิตทั้งกุ้งและปลา และ 5) การใช้สารกระตุ้นภูมิคุ้มกันหรือโปรไบโอติก ในทวีปอเมริกาพบว่าใช้กันมากขึ้น แต่ควรปรึกษาผู้เชี่ยวชาญก่อน เพื่อศึกษาความเสี่ยงและความคุ้มค่า

รูปที่ 9 Necrotic nuclei (มองเห็นเป็นจุดดำๆ) ที่เยื่อบุกระเพาะอาหารเนื่องจากเชื้อไวรัส TSV
______________________________
โรคหัวเหลือง (Yellowhead disease)
______________________________
โรคหัวเหลืองเป็นโรคสำคัญของกุ้งทะเลในประเทศไทย นอกจากนี้ยังพบได้ในหลายประเทศในเอเชียตะวันออกเฉียงใต้ เอเชียตะวันออก อินโดแปซิฟิก และออสเตรเลีย และยังเป็นโรคที่มีผลกระทบต่อการค้ากุ้งและการขนย้ายกุ้งระหว่างประเทศ โรคหัวเหลืองทำให้เกิดการตายในกุ้งรุนแรงและเฉียบพลัน โดยประมาณกันว่าทำให้เกิดความสูญเสียทางเศรษฐกิจมากถึง 500 ล้านดอลล่าห์สหรัฐฯ โรคหัว-เหลืองนี้พบครั้งแรกที่ประเทศไทย ในราวปี พ.ศ. 2534 หลังจากนั้นก็พบในอีกหลายประเทศในเอเชีย ส่วนอาการที่พบคือ หัวเหลืองและสีตัวกุ้งค่องข้างซีด อย่างไรก็ตามอาการ รวมทั้งรอยโรคทางจุลพยาธิวิทยาไม่สามารถนำมาเป็นบรรทัดฐานของโรคได้เสมอไป จึงแนะนำให้ใช้วิธีการชันสูตรทางโมเลกุลเพื่อยืนยันโรคด้วย สาเหตุเกิดจากเชื้อไวรัสโรคหัวเหลืองที่เรียกว่า Yellow Head Virus (YHV) ซึ่งมีการเพิ่มจำนวนในไซโตปลาสซึมของเซลล์ เชื้อไวรัสมี envelope รูปร่างแท่งไม่แน่นอน ขนาดไวริออนเท่ากับ 70 x 150-180 นาโนเมตร ขนาดของนิวคลีโอแคปซิดประมาณ 15 นาโนเมตร สายพันธุกรรมเป็นอาร์เอ็นเอสายเดี่ยว ยาวประมาณ 26,235 นิวคลีโอไทด์ (Nunan et al., 1998b) ในปัจจุบัน พ.ศ. 2550 ไวรัส YHV ถูกจัดอยู่ในวงศ์ใหม่ที่เรียกว่า Roniviridae ที่ประเทศออสเตรเลีย มีรายงานการพบไวรัสอีกชนิดหนึ่งในกุ้งกุลาดำ Penaeus monodon เรียกว่า Gill-Associated Virus (GAV) (Cowley et al., 2000; 2002) โดยพบว่ามีลักษณะคล้ายกับไวรัส YHV ซึ่งทำให้เกิดโรคระบาดคล้ายๆ กับโรคหัวเหลือง และก่อนหน้านั้นก็พบไวรัสอีกชนิดหนึ่งเรียกว่า Lymphoid Organ Virus (LOV) ในกุ้งกุลาดำที่แข็งแรง อย่างไรก็ตามจากการศึกษาภายหลังเป็นที่แน่ชัดแล้วว่า ไวรัสทั้งสองชนิดนี้ก็คือ YHV นั่นเอง ซึ่งอาจทำให้เกิดโรคติดเชื้อรุนแรงเฉียบพลัน หรือทำให้เกิดโรคเรื้อรังหรือการติดเชื้อชนิดไม่แสดงอาการ การติดเชื้อ GAV ชนิดเรื้อรังนั้นพบในกุ้งกุลาดำที่จับได้จากธรรมชาติจากบางพื้นที่ของประเทศออสเตรเลียตะวันออก และเชื้อสามารถผ่านไข่กุ้งไปสู่กุ้งรุ่นต่อไปได้ แต่มีรายงานว่าอาการและอวัยวะเป้าหมายของเชื้อนั้นแตกต่างจากไวรัสโรคหัวเหลือง แต่อย่างไรก็ตามเชื่อว่า YHV และ GAV เป็นจีโนไทป์ที่มีความคล้ายคลึงกัน

รูปที่ 10 Pyknotic nuclei ที่เหงือก (จุดดำๆ) เนื่องจากเชื้อไวรัส YHV
การติดต่อไม่ทราบแน่ชัด แต่คาดว่าเกิดจากการสัมผัสกับกุ้งที่มีเชื้อโดยตรง กุ้งและสัตว์จำพวกครัสเตเชียนหลายชนิดก็สามารถติดเชื้อไวรัส YHV ได้เช่นกัน ไวรัสโรคหัวเหลืองสามารถก่อโรคได้ในกุ้ง postlarva ระยะท้ายๆ เป็นต้นไป แต่มักสังเกตพบการตายมากในกุ้งวัยรุ่นในบ่อเพาะเลี้ยง อาการและการตายจะปรากฏภายใน 2-4 วันหลังติดเชื้ออัตราการตายอาจสูงถึง 100 เปอร์เซนต์ นอกจากนี้มักพบอาการที่เด่น ได้แก่ หัวกุ้งที่ป่วยมีสีเหลือง ซึ่งเกิดจากเหงือกและเปลือกกุ้งที่มีสีเหลือง (รายงานบางฉบับเชื่อว่าอาการหัวเหลืองเกิดจากเฮปปาโตแพนเครียส ที่มีสีเหลืองที่อยู่ข้างใต้) รอยโรคทางจุลพยาธิวิทยา (รูปที่ 10) ได้แก่ การตายอย่างมากของเนื้อเยื่อต่างๆ (extensive multifocal และ diffuse necrosis ของเนื้อเยื่อ ectodernal และ mesodermal) เช่น เหงือก เนื้อเยื่อเกี่ยวพัน เนื้อเยื่อฮีมาโตปอยอีติก (hematopoietic tissue) อวัยวะลิมฟอยด์ (lymphoid organ) เป็นต้น รอยโรคเกิดจากการตายของเซลล์ที่ติดเชื้อ ซึ่งมีนิวเคลียสขยายใหญ่หรือหดตัวลง (hypertrophied หรือ pyknotic nuclei) บางครั้งพบนิวเคลียสแตกตัว karyorrhectic nuclei และภายในเซลล์ติดเชื้อมักพบ perinuclear eosinophilic ถึง basophilic inclusions การควบคุมและป้องกัน โรคหัวเหลืองไม่มีวิธีรักษา หากกุ้งเป็นโรคนี้ต้องคัดทิ้ง การป้องกันโรคเข้าฟาร์มอาจทำได้หลายวิธี เช่น การเลี้ยงกุ้งที่ปลอดเชื้อ เป็นต้น
___________________________________________
โรคกล้ามเนื้อตายติดต่อ (Infectious myonecrosis หรือ IMN)
___________________________________________
โรคกล้ามเนื้อตายติดต่อ เป็นโรคที่อุบัติใหม่ พบครั้งแรกในปี พ.ศ. 2545 ที่ประเทศบราซิล ในฟาร์มกุ้งขาววานนาไม Litopenaeus vannamei ซึ่งก่อให้เกิดความเสียหายทางเศรษฐกิจกับอุตสาหกรรมการเลี้ยงกุ้งของประเทศบราซิลมาก และในราวปี พ.ศ. 2548 พบโรคนี้เป็นครั้งแรกในทวีปเอเชีย ในฟาร์มกุ้งขาววานนาไมที่ประเทศอินโดนีเซีย ซึ่งก็ทำให้เกิดความเสียหายมากเช่นกัน เกิดจากไวรัสโรคกล้ามเนื้อตายติดต่อ ที่เรียกว่า Infectious Myonecrosis Virus (IMNV) (Poulos et al., 2006) ซึ่งมีขนาด 40 นาโนเมตร ไม่มี envelope มีรูปร่างแบบ icosahedral มีสายพันธุกรรมเป็นอาร์เอ็นเอสายคู่ ยาวประมาณ 7.7 Kb ในปัจจุบัน (พ.ศ. 2550) ไวรัสนี้ถูกจัดอยู่ในวงศ์ Totiviridae การติดต่อยังไม่ทราบแน่ชัด แต่จากการทดลองคาดว่าเชื้อไวรัสติดจากกุ้งสู่กุ้งจากการที่กุ้งกินซากกุ้งที่ปนเปื้อนเชื้อ โฮสท์ของไวรัสนี้ในธรรมชาติคือกุ้งขาววานนาไม แต่จากการทดลองพบว่าเชื้อไวรัสนี้สามารถก่อโรคได้ในกุ้งสปีชีส์อื่นๆ ได้แก่ L. stylirostris, Penaeus monodon และ Farfantepenaeus subtilis (Tang et al., 2005)อาการโรคนี้เป็นโรคที่ค่อยๆ
แสดงอาการทีละน้อย มีอัตราการตายต่ำ แต่อัตราการตายสะสมเมื่อจับกุ้งอาจสูงถึง 70 เปอร์เซนต์ จากการทดลอง พบว่ากุ้งเริ่มแสดงอาการหลังติดเชื้อประมาณ 7 วันและอาการจะคงอยู่ตลอดช่วงการเลี้ยง อาการที่สำคัญ คือ กล้ามเนื้อโดยเฉพาะที่บริเวณส่วนท้องและหางมีสีขาว รอยโรคที่สำคัญที่มองเห็นได้ด้วยตาเปล่า คือ กล้ามเนื้อโดยเฉพาะที่ส่วนท้องและหางมีสีขาวขุ่น (white และ opaque appearance) เมื่อตรวจทางจุลพยาธิวิทยา พบว่าเกิดจากการตายของกล้ามเนื้อลาย (focal ถึง extensive coagulative hyaline myonecrosis) ร่วมกับการติดสีแดงมากขึ้น (increased eosinophilia) และการแตกหักของเส้นใยกล้ามเนื้อ (fragmentation of muscle fibers) และ
การบวมน้ำ (edema) นอกจากนี้ที่อวัยวะลิมฟอยด์ยังพบ lymphoid organ spheriod การควบคุมและป้องกัน โรคนี้ไม่มีวิธีรักษา แต่อาจป้องกันได้โดยการตรวจกุ้งก่อนที่จะนำมาเพาะเลี้ยง พบว่าการระบาดของโรคกล้ามเนื้อตายติดต่อที่พบในประเทศอินโดนีเซีย อาจเกิดจากการนำเข้ากุ้งมีชีวิตที่มีเชื้อมาจากประเทศบราซิล โรคนี้จึงมีผลกระทบต่อการค้าและการขนย้ายกุ้งและผลิตภัณฑ์กุ้งระหว่างประเทศ และด้วยเหตุนี้เองทำให้ประเทศต่างๆ จำเป็นต้องเตรียมแผนรับสถานการณ์การระบาดไว้ให้ดี
========================
โรคที่เกิดจากแบคทีเรียและริกเก็ตเซีย
========================
_______________________
โรคติดเชื้อวิบริโอ (Vibriosis)
_______________________
โรคติดเชื้อวิบริโอพบได้ทั่วโลก และเป็นปัญหาสำคัญอย่างหนึ่งของการเลี้ยงกุ้ง เกิดจากเชื้อวิบริโอ (Vibrio) เช่น V. parahaemolyticus, V. harveyi, V. vulnificus เป็นต้น ซึ่งเป็นแบคทีเรียแกรมลบ ส่วนใหญ่รูปร่างแท่ง ต้องการเกลือ ในการเจริญเติบโต (> 10 ppt = > 1%) จึงเรียกว่า “halophilic” เชื้อนี้พบได้ทั่วไปในน้ำทะเล แม้แต่ในกุ้งที่แข็งแรงก็สามารถพบเชื้อวิบริโอหลายสปีชีส์ในทางเดินอาหารของกุ้งได้ และเชื้อวิบริโอนี้เกิดการดื้อยาต้านจุลชีพได้ง่ายมาก

รูปที่ 11 เนื้อตายในเฮปปาโตแพนเครียสเกิดจากการติดเชื้อวิบริโอ
เนื้อตายในเฮปปาโตแพนเครียสเกิดจากการติดเชื้อวิบริโอ เชื้อวิบริโอหลายสปีชีส์เป็นเชื้อจุลินทรีย์ในทางเดินอาหารของกุ้งปกติ จึงคาดว่าการติดเชื้อน่าจะผ่านทางทางเดินอาหารเป็นส่วนใหญ่ เชื้อนี้ก่อโรคได้ในกุ้งทุกระยะ ตั้งแต่ไข่จนถึงกุ้งโตเต็มวัย อาจพบโรคนี้ได้ในโรงเพาะฟัก เชื้ออาจเป็นสาเหตุโดยตรงของโรคหรือเป็นเชื้อฉวยโอกาส ซึ่งต้องอาศัยสิ่งโน้มนำอื่น เช่นการติดเชื้อไวรัส หรือความเครียด เชื้อวิบริโออาจทำให้เกิดโรคทางเดินอาหาร โรคตามระบบ (systemic infection) หรือโรคบริเวณเปลือกกุ้ง ซึ่งอาจแสดงอาการต่างๆกัน เช่น อัตราการตายสูง การกินอาหารลดลง สังเกตได้จากกุ้งไม่มีอุจจาระ และลอกคราบช้าลง อาการและรอยโรคทางจุลพยาธิวิทยาที่อาจใช้ในการวินิจฉัยเบื้องต้น ได้แก่ ฮีโมลิมฟ์ (hemolymph หรือเลือด) แข็งตัวช้า
แบคทีเรียในฮีโมลิมฟ์หรือเนื้อเยื่อต่างๆ แผ่นคราบแบคทีเเรีย (bacterial plaques) บนคิวติเคิล จดดำโนดูลในเนื้อเยื่อ (melanized hemocytic nodules) มีแบคทีเรียตรงกลางโนดูล ไขมันในเฮปปาโตแพนเครียสต่ำ และ/หรือ melanized tubules การเรืองแสงของตัวกุ้ง (luminescence) การพบโคโลนีของแบคทีเรียที่มีสีเขียวขึ้นบนอาหารเลี้ยงเชื้อThiosulfate Citrate Bile Sucrose Agar (TCBS) รอยโรคทางจุลพยาธิวิทยาทำให้แยกการติดเชื้อวิบริโอได้เป็น 3 แบบ ได้แก่ 1) โรคติดเชื้อวิบริโอภายนอก พบกลุ่มแบคทีเรียที่คิวติเคิลจำนวนมาก 2) โรคติดเชื้อวิบริโอในทางเดินอาหาร พบกลุ่มแบคทีเรียที่คิวติเคิลภายใน (internal cuticle) เช่น บริเวณปาก หลอดอาหาร กระเพาะอาหาร การลอกหลุดของเซลล์เยื่อบุเฮปปาโตแพนเครียสและลำไส้ส่วนกลาง การอักเสบชนิด hemocytic inflammation (การอักเสบชนิดหนึ่งที่มีเซลล์ฮีโมไซต์แทรกตามเนื้อเยื่อที่เกิดการอักเสบ) และ melanization (การอักเสบชนิดหนึ่ง มีสีดำเมื่อตรวจด้วยกล้องจุลทรรศน์) และ 3) โรคติดเชื้อวิบริโอตามระบบ (systemic infection) พบ septicemia hemocytic nodules กล้ามเนื้อฝ่อ (muscle atrophy) หรือ septic hepatopancreatic necrosis การติดเชื้อวิบริโอเป็นสาเหตุของโรคมากมาย เช่น hatchery vibriosis, sea gull syndrome, septic hepatopancreatic necrosis (SHPN), luminescent vibriosis, swollen hidgut syndrome, shell disease, appendage necrosis (rot), splinters การควบคุมและป้องกันในโรงเพาะฟักลูกกุ้ง ได้แก่ 1) ฆ่าเชื้อโรคและพักบ่อระหว่างการเลี้ยงแต่ละครั้ง 2) ฆ่าเชื้อที่อาจมากับไข่กุ้ง นอร์เพลียสทั้งของกุ้งและของไรอาร์ทีเมีย 3) ใช้การจัดการที่ดี เช่นดูแลการให้อาหาร ความหนาแน่น อุณหภูมิน้ำ เป็นต้น 4) ใช้โปรไบโอติก และ 5) ใช้ยาต้านจุลชีพ เมื่อจำเป็น สำหรับการควบคุมและป้องกันโรคในฟาร์ม ได้แก่ 1) ใช้การจัดการที่ดี เช่น ควบคุมการเพิ่มจำนวนของแพลงค์ตอน ให้อาหารในปริมาณที่เหมาะสม ใช้ปูนขาวโรยบ่อ พักบ่อ เป็นต้น 2) ใช้ยาต้านจุลชีพผสมอาหาร เมื่อจำเป็น
________________________________________________
โรคเอ็นเอชพี (Necrotizing hepatopancreatitis หรือ NHP)
________________________________________________
โรคเฮปปาโตแพนเครียสอักเสบเนื้อตาย หรือโรคเอ็นเอชพี พบครั้งแรกในกุ้งขาววานนาไม Litopenaeus vannamei ที่รัฐเท็กซัส ประเทศสหรัฐอเมริกา ตั้งแต่ปี พ.ศ. 2528 จากนั้นตั้งแต่ปี พ.ศ. 2535 เป็นต้นมา พบเชื้อนี้ได้ในหลายประเทศในทวีปอเมริกาใต้ เช่น เปรู เอกวาดอร์ โคลัมเบีย เวเนซูเอลา บราซิล เม็กซิโก ประเทศในอเมริกากลาง และทวีปแอฟริกาตอนเหนือ และในปี พ.ศ. 2536 จึงพบว่าเกิดจากเชื้อแบคทีเรีย สาเหตุเกิดจากเชื้อแบคทีเรียจำพวก alpha-proteobacteria (Vincent et al., 2004; Vincent and
Lotz, 2005) เป็นแบคทีเรียแกรมลบ คล้ายริกเก็ตเซีย เพิ่มจำนวนในไซโตปลาสซึมของ hepatopancreas รูปร่างไม่แน่นอน (pleomorphic) คือ มีสองแบบ ได้แก่ รูปแท่ง (rod) ขนาด 0.25 x 0.90 ไมครอน ไม่มีแฟลกเจลล่า และ รูปเกลียว (helix) ขนาด 0.25 x 2-3.5 ไมครอน มีแฟลกเจลล่า 8 เส้นที่ปลายยอดและอีก 2 เส้นบนเกลียว การติดต่อคาดว่าเกิดจากการกิน พบรายงานในกุ้งหลายสปีชีส์ เช่น L. vannamei, L. styli-rostris, L. setiferus และ Farfantepenaeus aztecus นอกจากนี้จากการทดลอง ยังพบในกุ้งกุลาดำ Penaeus monodon มักพบในกุ้งวัยรุ่น (juveniles) จนถึงระยะก่อนกุ้งโตเต็มวัย (sub-adults) โดยมักพบเมื่อน้ำที่เลี้ยงกุ้งมีความเค็มมากกว่า 30 ppt และอุณหภูมิน้ำมากกว่า 30 องศาเซลเซียส โรคนี้เป็นโรคเรื้อรัง อาจพบการตายอยู่ในช่วง 5 ถึง 99 เปอร์เซนต์ การเจริญเติบโตลดลง คิวติเคิลอ่อนนิ่ม และตัวกุ้งอ่อนปวกเปียก มักพบเป็นโรคเฟาลิ่งร่วมด้วย ซึ่งทำให้เหงือกและระยางค์มีสีดำ ขาว่ายน้ำมีสีดำ เนื่องจากการขยายตัวของ melanophores เฮปปาโตแพนเครียสฝ่อ (hepatopancreas atrophy) หยดไขมันในเฮปปาโตแพนเครียสลดลง และเกิด melanized tubules

รูปที่ 12 การลอกหลุดของเซลล์เฮปปาโตแพนเครียส
จากการติดเชื้อ NHP ระยะเฉียบพลัน (ภาพซ้ายบน คือเนื้อเยื่อปกติ) รอยโรคในเฮปปาโตแพนเครียส แบ่งเป็น รอยโรคในระยะแรก ได้แก่ 1) การตอบสนองรุนแรงของเม็ดเลือดหรือฮีโมไซต์ในท่อของเฮปปาโตแพนเครียส (intense intratubular hemocytic response) 2) พบ melanized hepatopancreatic (HP) tubules จำนวนเล็กน้อยถึงมาก 3) พบเนื้อตาย (necrosis) และการลอกหลุด (sloughing) ของเซลล์เยื่อบุ HP tubule epithelial cells 4) หยดไขมัน (lipid droplets) ในเฮปปาโตแพนเครียสลดลงมาก 5) พบกลุ่มก้อนของเชื้อแบคทีเรียขนาดเล็กๆภายในไซโตปลาสซึมของเซลล์ 6) ทางกล้องจุลทรรศน์อิเล็กตรอน พบเชื้อทั้งรูปแท่งและรูปเกลียว 7) มักพบการติดเชื้อแทรกซ้อนจากเชื้อวิบริโอ (Vibrio spp.) และรอยโรคในระยะเรื้อรังหรือระยะท้าย ได้แก่ 1) ท่อของเฮปปาโตแพนเครียสฝ่อลีบ (marked atrophy of tubules) และความสูงของเซลล์เยื่อบุลดลง 2) หยดไขมันเก็บสะสม (lipid storage) ต่ำ (L0-1) 3) พบการบวมน้ำภายในท่อ (intratubular edema) 4) อาจไม่พบก้อนแกรนูโลมา (granulomas) หรือก้อนอาจมีขนาดเล็กลง 5) บางเซลล์มีแบคทีเรียอยู่ในไซโตปลาสซึม (cytoplasmic intracellular bacteria) การควบคุมและป้องกัน ได้แก่ 1) สร้างบ่อให้ลึกเพื่อป้องกันอุณหภูมิที่อาจเพิ่มสูงขึ้น
2) เปลี่ยนถ่ายน้ำเพื่อลดความเค็มของน้ำ 3) ให้ยาผสมอาหารเพื่อป้องกัน เช่น ออกซีเตตราไซคลิน ที่ความเข้มข้น 1.5 ถึง 4 กก./ตันอาหาร เป็นเวลา 10 ถึง 14 วัน 4) ต้องดูจากประวัติฟาร์ม เมื่อเห็นว่าโรคเอ็นเอชพีอาจจะเกิดขึ้นได้ ให้เตรียมยาผสมอาหารไว้ รวจสภาพกุ้ง และเริ่มรักษาเมื่อเห็นอาการเริ่มแรก และหยุดการใช้ยาออกซีเตตราไซคลิน 2 วันก่อนจับกุ้ง (ตามคำแนะนำขององค์การอาหารและยาสหรัฐฯ) แต่แนะนำให้หยุดยาอย่างน้อย 7 วัน
______________________________________________________________________
โรคติดเชื้อริกเก็ตเซียในเฮปปาโตแพนเครียส (Hepatopancreatic rickettsia infection)
______________________________________________________________________
โรคนี้เกิดจากเชื้อริกเก็ตเซีย พบได้ประปราย รอยโรคจำเพาะทางจุลพยาธิวิทยาที่พบ คือมีริกเก็ตเซียในไซโตปลาสซึมของเฮปปาโตแพนเครียส ยังไม่มีรายงานด้านการป้องกัน การควบคุมและการรักษา เชื้ออาจมีหลายสเตรนตามภูมิภาคต่างๆ ได้แก่ สเตรนฮาวาย พบในกุ้ง Melicertus marginatus และสเตรนเม็กซิโก พบในกุ้ง Litopenaeus vannamei และ L. stylirostris
___________________________________________________
โรคติดเชื้อริกเก็ตเซียตามระบบ (Systemic rickettsia infection)
___________________________________________________
โรคนี้เกิดจากเชื้อริกเก็ตเซีย ซึ่งอาจมีหลายสเตรนตามภูมิภาคต่างๆ ได้แก่ 1) สเตรนเอเชียตะวันออกเฉียงใต้ พบในกุ้ง P. monodon และ 2) สเตรนมาดากัสการ์ พบในกุ้ง P. monodon เช่นกัน รูปแท่ง ติดสีแกรมลบ ขนาด 0.45 x 1.5 ไมครอน เพิ่มจำนวนภายในไซโตปลาสซึม ไม่อยู่ในถุงเวสซิเคิล (vesicles) อวัยวะเป้าหมาย คือเนื้อเยื่อเกี่ยวพันอวัยวะลิมฟอยด์ เซลล์เยื่อบุคิวติเคิล เซลล์ฮีมาโตปอยอีติก (hematopoietic cells) และเม็ดเลือด (hemocytes)
__________________________________________________________
โรคติดเชื้อไมโครคอกคัสตามระบบ (Systemic micrococcus infection)
__________________________________________________________
โรคนี้เกิดจากเชื้อไมโครคอกคัส ซึ่งอาจมีอยู่หลายสปีชีส์ พบเมื่อความเค็มของน้ำต่ำเท่านั้น ซึ่งอาจมีหลายสเตรนตามภูมิภาคและประเทศต่างๆ ได้แก่ 1) สเตรนตะวันออกกลาง เกิดจากเชื้อ Lactococcus spp. พบในกุ้ง Litopenaeus vannamei 2) สเตรนมาดากัสการ์ เกิดจากเชื้อ Streptococcus spp. ในกุ้งกุลาดำ Penaeus monodon พบว่าก่อโรคใน L. vannamei จากการทดลองเช่นกัน และ 3) สเตรนเฟรนช์กีอานา ทวีปอเมริกาใต้ ในกุ้ง L. vannamei โรคนี้พบน้อย และยังไม่มีรายงานการรักษาและการป้องกัน โรคติดเชื้อสไปโรพลาสมาตามระบบ (Systemic infection by Spiroplasma penaei) โรคนี้เป็นโรคอุบัติใหม่ในกุ้งขาว Litopenaeus vannamei พบในทวีปอเมริกาใต้ โรคเกิด
เมื่ออุณหภูมิของน้ำสูง แรกๆนักวิทยาศาสตร์เข้าใจว่าโรคนี้คือโรคติดเชื้อวิบริโอ แต่ภายหลังจึงค้นพบว่าเป็นโรคใหม่ เกิดจากเชื้อ Spiroplasma penaei ซึ่งมีขนาดเล็กมากและยากต่อการวินิจฉัย เชื้อนี้ทำให้เกิดการติดเชื้อตามระบบ และยังไม่มีรายงานการรักษาที่ได้ผล (Nunan et al., 2004)
______________________________________________
โรคติดเชื้อไมโครแบคทีเรียม (Mycobacterial infections)
______________________________________________
โรคนี้เกิดจากแบคทีเรียที่ย้อมติดสีแอซิดฟาสต์ ซึ่งในกุ้ง มีอยู่หลายสปีชีส์ ได้แก่ Mycobacterium marinum, M. fortuitum, M. peregrinum และ Mycobacterium spp. โรคนี้ไม่มีวิธีรักษาที่ได้ผล ดังนั้นหากตรวจพบเชื้อโรคนี้ ต้องทำการคัดทิ้งกุ้งที่เป็นโรค นอกจากนี้โรคติดเชื้อไมโครแบคทีเรียมยังสามารถติดต่อมาสู่คนได้ โดยมักพบในคนงานในโรงงานปอกเปลือกกุ้ง ที่ไม่ได้ใส่ถุงมือขณะทำงาน จึงพบรอยโรคในคนที่บริเวณมือ ดังนั้นจึงแนะนำให้คนงานใส่ถุงมือขณะทำงาน
==============
โรคที่เกิดจากปาราสิต
==============
_____________________________________
โรคติดเชื้อโปรโตซัว (Infections by protozoa)
_____________________________________
โปรโตซัวที่พบในกุ้ง ได้แก่ Microsporidian และ Haplosporidian พบได้ทั่วโลก มีผลกระทบต่อการเลี้ยงกุ้งในทุกรุ่นอายุ มักพบในบ่อกุ้งที่มีการเลี้ยงการจัดการไม่ดี อาจพบการตายในกุ้งที่ติดเชื้อรุนแรง วินิจฉัยโดยวิธีการทางจุลพยาธิวิทยา หากพบกุ้งติดเชื้อโปรโตซัวแนะนำให้คัดทิ้ง โปรโตซัวในกุ้งมีหลายชนิด (ตารางที่ 4)

_______________________________________
โรคติดเชื้อเกรการีน (Infections by Gregarines)
_______________________________________
เกรการีนเป็นโปรโตซัวจำพวก Apicomplexa: Sporozoa; Eugregarinida โดยเกรการีนที่เป็นปาราสิตในกุ้งมีหลายชนิด ดังแสดงในตารางที่ 5 ส่วนใหญ่กุ้งมักไม่แสดงอาการหากติดเชื้อเล็กน้อย แต่ถ้าติดเชื้อรุนแรงอาจพบว่า ลำไส้ส่วนกลางมีสีเหลือง การกินอาหารและการเจริญเติบโตลดลง อาจพบโรคเฟาลิ่งและโรคติดเชื้อวิบริโอแทรกซ้อนร่วมด้วย อาจทำให้ตายได้ รอยโรคมักพบเกรการีนที่ลำไส้ส่วนกลาง และลำไส้ส่วนท้าย (บางครั้งพบใน anterior midgut cecum, กระเพาะอาหาร และ
เฮปปาโตแพนเครียส) วินิจฉัยได้โดยวิธีทางจุลพยาธิวิทยา การรักษา การควบคุมและป้องกัน ใช้ยากันบิดผสมอาหารให้กิน อาจได้ผลบ้าง (ขนาดของยาที่ใช้เท่ากับขนาดที่ใช้ในสัตว์ปีก)

_________________________________________________
โรคหนอนพยาธิ (Helminth parasitic infections of shrimp)
_________________________________________________
หนอนพยาธิที่พบในกุ้งมีทั้งพยาธิตัวตืด พยาธิตัวกลม และพยาธิใบไม้ ซึ่งพบได้เป็นครั้งคราว กุ้งที่เป็นโรคพยาธิมักไม่แสดงอาการใดๆ และมักพบในฟาร์มที่มีการจัดการไม่ดี โรคนี้วินิฉัยด้วยวิธีการทางจุลพยาธิวิทยา และยังไม่มีรายงานการรักษาที่ได้ผล โดยอวัยวะที่มักพบตัวอ่อนของหนอนพยาธิได้บ่อยๆ ได้แก่ 1) เฮปปาโตแพนเครียส ลำไส้ เนื้อเยื่อเกี่ยวพัน มักพบพยาธิตัวตืดและพยาธิปากขอ 2) เนื้อเยื่อเกี่ยวพัน ลำไส้ มักพบพยาธิตัวกลม และ 3) เนื้อเยื่อเกี่ยวพัน เฮปปาโตแพนเครียส กล้ามเนื้อ มักพบพยาธิใบไม้
________________________
โรคเฟาลิ่ง (Fouling disease)
________________________
โรคเฟาลิ่งเป็นชื่อรวมๆ ที่ใช้เรียกโรคซึ่งเกิดได้จากเชื้อหรือสิ่งมีชีวิตหลายกลุ่ม โดยทั่วไปมักเรียกสิ่งมีชีวิตเหล่านี้ว่า epibionts หรืออาจเรียกว่า epicommensals ซึ่งเกาะอยู่ที่คิวติเคิล เหงือกและระยางค์ หากมีจำนวนมากๆที่เหงือกและระยางค์ อาจขัดขวางการเคลื่อนที่หรือการเคลื่อนไหวของอวัยวะ นอกจากนี้ยังอาจขัดขวางการลอกคราบและการหายใจด้วย เชื้อหรือสิ่งมีชีวิตที่จัดเป็น epicommensals ที่พบได้ในกุ้ง ได้แก่ 1) แบคทีเรีย เช่น Leucothrix mucor (รูปที่ 14), Thiothrix spp., Cytophaga spp., Flexibacter spp., Vibrio spp., Flavobacterium spp. 2) สาหร่ายสีเขียวแกมน้ำเงิน เช่น Spirulina subsalsa, Schizothrix calcicola, Schizothrix spp., Calothrix crustacea,
Lyngbya spp., Microcystis spp., 3) ไดอะตอม เช่น Amphiprora spp., Nitzschia spp., Navicula spp. 4) สาหร่ายสีเขียว เช่น Enteromorpha spp. 5) Suctorian protozoa เช่น Acineta spp., Ephelota spp. 6) Flagellate protozoa เช่น Bodo spp. และ 7) Ciliate protozoa แบ่งเป็นกลุ่มย่อย ได้ดังนี้ 7.1) Peritrichs ได้แก่ Zoothamnium spp., Epistylis spp., Vorticella spp. 7.2) Loricate ciliates ได้แก่ Lagenophrys spp., Cothurnia spp. และ 7.3) Apostome ciliates ได้แก่ Ascophrys spp.

รูปที่ 14 แบคทีเรียชนิด Leucothrix mucor เกาะตามเหงือกกุ้ง (วิธี wet mount)
กุ้งมักไม่แสดงอาการเมื่อมีการติดเชื้อเล็กน้อย แต่หากติดเชื้อรุนแรง อาจพบการตายเพิ่มขึ้นหลังเครียด การเจริญเติบโตลดลง สีของเหงือกและระยางค์เปลี่ยนไป การวินิจฉัย epicommensals ทำได้ด้วยวิธี wet mount หรือจากการตรวจทางจุลพยาธิวิทยา ซึ่งโดยมากจะไม่พบรอยโรคใดๆ หากติดเชื้อเพียงเล็กน้อย แต่กรณีที่ติดเชื้อมาก อาจพบกลุ่มเชื้อ (colonization) ที่เหงือก และระยางค์ บางครั้งพบเนื้อตาย การอักเสบ และ melanization (ซึ่งมองเห็นเป็นสีดำ) การควบคุมและป้องกัน การจัดการ ได้แก่ การปรับอัตราการให้อาหาร การเปลี่ยนน้ำ และการให้ปุ๋ยเพื่อควบคุมการเพิ่มจำนวนของแพลงค์ตอนพืช นอกจากนี้ยังอาจใช้ยา โดยยาที่ใช้รักษาโรคเฟาลิ่ง ได้แก่ 1) ฟอร์มาลิน ที่ความเข้นข้น 25-50 ppm ในบ่อ หรือ 250 ppm ในถังหรือบ่อจุ่ม 2) สารคอปเปอร์เอทานอลเอมีน (copper ethanol amine) ซึ่งมีหลายชนิดและมีชื่อทางการค้าต่างๆ กัน เช่น Copper Control, Aquatrine, Cutrine และ 3) สารคลอเอมีนที (chloramine-T)
=============
โรคที่เกิดจากเชื้อรา
=============
_________________________________
โรคเชื้อราในกุ้งวัยอ่อน (Larval mycosis)
_________________________________
โรคเชื้อราในกุ้งวัยอ่อน พบได้เป็นครั้งคราว โดยเฉพาะมักเกิดกับฟาร์มหรือโรงเพาะฟักลูกกุ้งที่มีการจัดการไม่ดี เกิดจากเชื้อราในคลาส Phycomycetes ได้แก่ Lagenidium callinectes (รูปที่ 15), Lagenidium spp., Sirolpidium spp. การติดต่อไม่ทราบแน่ชัด ระยะของกุ้งที่ไวต่อการเกิดโรค คือ ระยะไข่ ระยะกุ้งวัยอ่อน จนถึง กุ้งพี (postlarva) ระยะแรก อาการที่พบ ได้แก่ 1) ตัวอ่อนของกุ้งมีสีขาว ขุ่นทึบ ซึม โดยมักหลบพักอยู่ที่ก้นถัง 2) ตัวอ่อนของกุ้งที่ติดเชื้อมีไมซีเลียม (mycelium) ของเชื้อราที่แตกกิ่งก้านสาขาจำนวนมากในเนื้อเยื่อและอวัยวะต่างๆ 3) การตายเพิ่มสูงขึ้นอย่างรวดเร็ว โดยอาจมากกว่า 90 เปอร์เซนต์ หากไม่ได้รับการรักษา รอยโรคที่พบ ได้แก่ 1) ไมซีเลียม กัดกินเนื้อเยื่ออ่อนทั้งหมด โดยเหลือเฉพาะคิวติเคิลและรงควัตถุของตา 2) มักไม่มีการอักเสบ หรืออาจพบแต่น้อยมาก

รูปที่ 15 เชื้อรา Laginidium callinectes มองเห็นเป็นเส้นใยอยู่ภายในตัวกุ้ง
การควบคุมและป้องกัน มีดังนี้ 1) ล้างไข่กุ้งและนอร์เพลียส 2) คัดเลือกกุ้งที่แข็งแรงโดยการส่องไฟ หรือ 3) ใช้สารเคมี เช่น มาลาไคท์กรีน ปกติใช้ในอัตรา 6-10 ppb ทุกวัน แต่อาจมีปัญหาทำให้กุ้งวัยอ่อนรูปร่างบิดเบี้ยว และไม่ปลอดภัยกับผู้ใช้ หรือ Treflan (trifluralin) ซึ่งออกฤทธิ์โดยการยับยั้งสปอร์และไม่ออกฤทธิ์กับไฮฟาหรือไมซีเลียม โดยมีวิธีการใช้ดังนี้ ก) คัดเลือกลูกกุ้งโดยใช้ไฟส่อง ข) ผสม trifluralin ในน้ำที่ความเข้มข้น 10 ถึง 20 ppb ในถังวางไข่ ถังฟักไข่ หรือถังเพาะเลี้ยงลูกกุ้งวัยอ่อน หลายครั้ง (4-8 ครั้ง)ทุกวัน หรือใช้ต่อเนื่อง และ ค) อาจใช้ความเข้มข้น 50-100 ppb เนื่องจาก trifluralin ไม่คงตัวเมื่อถูกแสงแดด ฟองอากาศจากการเติมอากาศ และสาหร่าย
_______________________
โรคฟูซาริโอซิส (Fusariosis)
_______________________
โรคฟูซาริโอซิส เกิดจากเชื้อราที่เรียกว่า Fusarium solani และ Fusarium spp. พบประปราย แต่พบได้ทั่วโลก โดยเฉพาะในบ่อกุ้งที่มีการเลี้ยงและการจัดการไม่ดี สามารถวินิจฉัยได้โดยวิธีทางจุลพยาธิวิทยา กุ้งที่ติดเชื้ออาจไม่แสดงอาการใดเลย และไม่มีรายงานการรักษาที่ได้ผล หากพบกุ้งเป็นโรคนี้แนะนำให้คัดทิ้ง และปรับปรุงการจัดการ เช่น คุณภาพน้ำ ให้ดีขึ้น
========================
โรคที่เกิดจากสิ่งแวดล้อมและกายภาพ
========================
________________________________
โรคฟองอากาศ (Gas bubble disease)
________________________________
โรคฟองอากาศ เกิดจากสาเหตุ 2 ประการ ได้แก่ 1) ไนโตรเจน ที่มีความอิ่มตัวมากกว่า 110 เปอร์เซนต์ ซึ่งอาจเกิดจากมีการรั่วของปั๊ม (ด้านดูดอากาศเข้า) ความอิ่มตัวของไนโตรเจนในบ่อสูง หรือ อุณหภูมิของน้ำสูงขึ้นอย่างฉับพลัน ซึ่งทำให้เกิดฟองอากาศเล็กๆ (gas emboli) เข้าไปอุดตันระบบหมุนเวียนเลือด และเป็นสาเหตุของภาวะขาดออกซิเจน (hypoxia) นอกจากนี้ยังทำความเสียหายทางกายภาพโดยตรงต่อเนื้อเยื่อ หรือ 2) ออกซิเจน ที่มีความอิ่มตัวมากกว่า 250 เปอร์เซนต์ ซึ่งอาจเกิดจากถุงหรือแท็งก์ที่
อัดออกซิเจนแล้ว แต่ไม่มีการกวนอากาศ หรือเกิดจากกระบวนการสังเคราะห์แสงของพืช ในถังหรือแท็งก์ที่ไม่มีการกวนอากาศ ซึ่งไม่ทำให้เกิดภาวะขาดออกซิเจน (เนื่องจาก emboli ที่เกิดจากออกซิเจนถูกดูดซึมและถูกทำลายได้) แต่ฟองอากาศเล็กๆ นี้ทำลายเนื้อเยื่อทางกายภาพโดยตรงได้

รูปที่ 16 ฟองอากาศในตัวกุ้ง
อาการที่พบ ได้แก่ 1) กุ้งป่วย และลอยโดยหงายเอาด้านท้อง (ventral side) ของส่วนหัวขึ้น และอยู่ที่ผิวน้ำ 2) สังเกตเห็นฟองอากาศได้ในเนื้อเยื่อ ที่บริเวณที่เปลือกหุ้มอยู่บางๆ (รูปที่ 16) เช่น ท้อง 3) เหงือกขาว (snow white gill) 4) พบฟองอากาศเมื่อตรวจเนื้อเยื่อด้วยกล้องจุลทรรศน์ที่กำลังขยายต่ำ และ 5) ตัวอย่างดองทางจุลพยาธิวิทยา อาจแสดงความเสียหายของเนื้อเยื่อหรือการขยายขนาด (dilation) โดยเฉพาะที่เหงือก จึงแนะนำให้ใช้ตัวอย่างสดในการวินิจฉัย โรคนี้ไม่มีวิธีรักษา การแก้ไขทำได้ด้วยการกำจัดสาเหตุ ตามที่ได้กล่าวมาแล้ว
________________________________
โรคเหล็กเกาะ (Iron salt encrustation)
________________________________
โรคเหล็กเกาะเกิดจากน้ำในบ่อเลี้ยงมีธาตุเหล็กสูง ซึ่งธาตุเหล็กนี้มาจากดินก้นบ่อ กุ้งที่เป็นโรคนี้มีตะกอนเหล็กเกาะตามตัว เหงือก ระยางค์ ซึ่งอาจขัดขวางการเคลื่อนไหวหรือขัดขวางการหายใจได้ โดยทั่วไปไม่พบการตาย ไม่พบการรายงานถึงวิธีการรักษาหรือการแก้ไขที่ได้ผล ดังนั้นจึงแนะนำให้เกษตรกรตรวจดูสภาพดินก่อนการเลือกสถานที่เลี้ยงกุ้ง โดยดินต้องไม่มีปริมาณธาตุเหล็กสูงเกินไป คือต้องน้อยกว่า 1.0 ppm
==============
โรคที่เกิดจากสารพิษ
==============
__________________________________
โรคพิษจากสารเบนเลท (Benlate toxicity)
__________________________________
เบทเลทเป็นสารเคมีที่ใช้ในการรักษาโรคเชื้อราในต้นไม้ โดยเฉพาะในกล้วย ซึ่งสารนี้อาจถูกชะล้างมาตามกระแสน้ำจากสวนกล้วยเข้าสู่ฟาร์มกุ้ง พบว่าหากกุ้งได้รับเบนเลทในปริมาณน้อยๆ คือ 0.1 ppm จะไม่แสดงอาการแต่อย่างใด แต่หากได้รับเบนเลทเกิน 1.0 ppm จะตาย 100 เปอร์เซนต์ ในเวลา 9 วัน ทั้งนี้เนื่องจากเบนเลทเป็นสารยับยั้งการแบ่งตัวแบบไมโตซิสของเซลล์ โรคนี้มีรอยโรคจำเพาะที่สำคัญที่เฮปปาโตแพนเครียสคือ เซลล์ขนาดใหญ่ เรียกว่า megahepatopancreatocytes ซึ่งถูกเหนี่ยวนำโดยสารเบน
เลท นอกจากนี้ยังพบเนื้อตาย การอักเสบ การฝ่อลีบ และมี mitotic figures สูง
_______________________________
โรคอะฟลาท๊อกซิโคซิส (Aflatoxicosis)
_______________________________
โรคอะฟลาท๊อกซิโคซิสเกิดจากอาหารหรือส่วนผสมอาหารที่มีการปนเปื้อนจากเชื้อรา เช่นAspergillus flavus หรือ A. parasiticus ในกุ้งพีเนียดพบว่าค่า LC-50 เท่ากับ 100.5 มก./กก. ซึ่งทำให้เกิดความเป็นพิษเฉียบพลัน โดยทำให้เกิดเนื้อตายลอกหลุดและการอักเสบที่เฮปปาโตแพนเครียส (รูปที่ 17) โรคนี้ไม่มีวิธีรักษา แต่ป้องกันแก้ไขได้โดยการปรับปรุงอาหาร เช่น ไม่ใช้อาหารที่ปนเปื้อนเชื้อรา เป็นต้น

รูปที่ 17 การลอกหลุดของเซลล์เฮปปาโตแพนเครียสเนื่องจากสารพิษอะฟลาท๊อกซิน
_____________________
โรคเหงือกดำ (Black gills)
_____________________
สาเหตุของโรคเหงือกดำแบ่งเป็น 2 สาเหตุหลัก ได้แก่ 1) สาเหตุทางชีวภาพ แบ่งย่อยได้ดังนี้ 1.1) แบคทีเรีย เช่น Vibrio spp. 1.2) เชื้อรา เช่น Fusarium soloni 1.3) ปาราสิตเช่น Apostome ciliate 1.4) การขาดสารอาหารบางชนิด เช่น วิตามินซี และ 2) สาเหตุทางเคมีและกายภาพ แบ่งย่อยได้ดังนี้ 2.1) โลหะหนัก เช่น แคดเมียม โครเมียม ทองแดง 2.2) Oxidants เช่น โอโซน คลอรีน โบรมีน ด่างทับทิม 2.3) ก๊าซอิ่มตัว เช่น ไนโตรเจน หรืออาจเกิดจากออกซิเจนก็ได้ 2.4) แสงอัลตราไวโอเลต 2.4) เมตาโบไลต์ เช่น
แอมโมเนีย ไนไตรท์ และ 2.5) น้ำมันดิบ อาการที่พบคือ เหงือกดำ (รูปที่ 18) ซึ่งสามารถตรวจดูได้ด้วยตาเปล่าและการใช้กล้องจุลทรรศน์ ซึ่งพบเนื้อตายและ melanization อย่างรุนแรงที่เหงือก การป้องกันทำได้โดยการกำจัดสาเหตุของโรค

รูปที่ 18 กุ้งที่เป็นโรคเหงือกดำ
_______________________________________
โรคลำไส้อักเสบฮีโมไซติก (Hemocytic enteritis)
_______________________________________
โรคลำไส้อักเสบฮีโมไซติกเกิดจากสาหร่ายจำพวก Oscillatoriaceae ได้แก่ Schizothrix calcicola, Spirulina subsalsa, Lyngbya majuscule โดยสันนิษฐานว่าสาหร่ายเหล่านี้สร้างสารพิษ endotoxin ซึ่งเป็น lipopolysaccharide (LPS) ที่มีโครงสร้างซับซ้อน โดย LPS นี้พบได้ในสาหร่ายสีเขียวแกมน้ำเงินที่เรียกว่า cyanobacteria และยังพบในแบคทีเรียแกรมลบบางชนิด ซึ่งก็เป็นไปได้ว่าแบคทีเรียดังกล่าวสามารถทำให้เกิดโรคนี้ได้เช่นกัน อาการที่พบได้แก่ ลำตัวกุ้งสีฟ้า ซึ่งอาจเกิดจากความเครียดร่วมด้วย รอยโรคที่พบคือ ผนังลำไส้หนาตัวเนื่องจากมีเซลล์เม็ดเลือดหรือฮีโมไซต์แทรกจำนวนมาก การป้องกันทำได้โดยการกำจัดซึ่งก็คือสาหร่าย โดยการปรับปรุงคุณภาพน้ำ และ การให้อาหาร เป็นต้น
__________________________________
โรคพิษจากขี้ปลาวาฬ (Red tide toxicity)
__________________________________
โรคพิษจากขี้ปลาวาฬนี้พบว่าเกิดขึ้นเป็นครั้งคราว เช่น ที่เคยเกิดที่ประเทศเม็กซิโก สำหรับปรากฏการณ์ขี้ปลาวาฬ มีสาเหตุมาจากการที่สาหร่ายที่เรียกว่า Karenia brevis เพิ่มจำนวนอย่างมาก ซึ่งสาหร่ายนี้สามารถผลิตสารพิษซึ่งทำให้เกิดโรคได้เมื่อสาหร่ายเหล่านี้ถูกสูบเข้าบ่อเลี้ยงกุ้ง อาการที่พบได้แก่ 1) กุ้งว่ายน้ำไม่หยุด รวมตัวกันที่มุมต่างๆ ของบ่อและพยายามหนีออกจากบ่อ 2) การสึกกร่อน (erosion) ของระยางค์บริเวณหัว และตาทั้งสองข้าง และ 3) ตายในขณะลอกคราบ โรคนี้ไม่มีวิธีรักษาเฉพาะ
_____________________________________
โรคพิษจากโลหะหนัก (Heavy metal toxicity)
_____________________________________
โลหะหนักที่อาจเป็นพิษต่อกุ้ง ได้แก่ แคดเมียม โครเมียม และ ทองแดง ความเป็นพิษจากแคดเมียม ความเป็นพิษเฉียบพลัน พบว่า LC-50 ที่ 96 ชั่วโมง เท่ากับ 4.6 มก. แคดเมียม/ลิตร ซึ่งทำให้เกิดรอยโรค ได้แก่ 1) อวัยวะ/เนื้อเยื่อ ที่เป็นที่สะสม แคดเมียมได้มากที่สุด ได้แก่ เหงือก คิวติเคิล (โครงสร้างหุ้ม) และเฮปปาโตแพนเครียส (สำหรับเฮปปาโตแพน เครียส ยังไม่มีรายงานยืนยันแน่ชัด) 2) เนื้อตาย และ การอักเสบ และ 3) โรคแบคทีเรียแทรกซ้อนที่เปลือกกุ้งและโรคฟูซาริโอซิส ความเป็นพิษจากโครเมียม จากการทดลองโดยใช้กุ้ง mysid shrimp Amercamysis bahia (ชื่อเดิม Mysidopsis bahia) พบว่า LC-50 ที่ 96 ชั่วโมง เท่ากับ 6.6 มก. โครเมียม/ลิตร รอยโรคทางจุลพยาธิวิทยา เป็นการตอบสนองแบบขั้นบันได โดยขึ้นกับปริมาณโครเมียมที่ให้ รอยโรคนี้ได้แก่ 1) ที่เฮปปาโตแพนเครียส พบว่าเซลล์เยื่อบุท่อ มีรูปร่างกลมขึ้น (rounding) เกิดการลอกหลุด (sloughing) และเนื้อตาย 2) ผนังเยื่อบุลำไส้ส่วนกลาง เกิด rounding ลอกหลุด เนื้อตาย 3) เยื่อบุคิวติเคิล เกิดเนื้อตาย การอักเสบและเกิด melanization 4) นอกจากนี้ยังอาจพบรอยโรคที่ลำไส้ส่วนต้น กระเพาะอาหาร และต่อมแอนเทนัล ความเป็นพิษจากทองแดง จากการทดลองความเป็นพิษ พบว่าการให้ทองแดง (copper ethanolamine) 1.5 ถึง 3.2 มก. ทองแดง/ลิตร เป็นเวลา 96 ชั่วโมง ทำให้เกิด melanization ที่เหงือกใน 99 เปอร์เซนต์ของกุ้งทดลอง แต่พบว่ากุ้งมีอัตราการตายต่ำ (< 1 เปอร์เซนต์) โรคพิษจากโลหะหนักไม่มีวิธีรักษาเฉพาะจึงต้องกำจัดโลหะหนักที่อาจปนเปื้อนมากับน้ำ
==============
โรคเนื้องอกและมะเร็ง
==============
____________________________
โรคเนื้องอก Epithelial papilloma
____________________________
กุ้งที่พบเนื้องอกชนิดนี้ ได้แก่ 1) Farfantepenaeus aztecus (รูปที่ 19) ปี พ.ศ. 2515 ซึ่งเป็นกุ้งเลี้ยงในบ่อทดลอง จากรัฐเท็กซัส ประเทศสหรัฐอเมริกา และปี พ.ศ. 2516 จากกุ้งจับจากธรรมชาติ 2) Litopenaeus vannamei ปี พ.ศ. 2548 เป็นกุ้งจากฟาร์ม ในประเทศเวเนซูเอลา และ 3) Penaeus monodon ปี พ.ศ. 2547 เป็นกุ้งจากฟาร์ม ในประเทศอินเดีย (ข้อมูลจาก Aquaculture Pathology Laboratory มหาวิทยาอะริโซนา)

รูปที่ 19 Epithelial papilloma ในกุ้ง Farfantepenaeus aztecus
______________________
โรคเนื้องอก Fibrosarcoma
______________________
กุ้งที่พบเนื้องอกชนิดนี้คือ Litopenaeus vannamei จากฟาร์ม ในรัฐ Sonara ประเทศเม็กซิโก ลักษณะเป็นเนื้องอกชนิดไม่รุนแรงและประกอบด้วยเซลล์หลายชนิด ได้แก่ เซลล์เยื่อบุคิวติเคิลและคิวติเคิล และเนื้อเยื่อเกี่ยวพันใต้คิวติเคิล (กุ้งตัวนี้พบเชื้อไวรัส IHHNV ด้วย) (ข้อมูลจาก Aquaculture Pathology Laboratory มหาวิทยาอะริโซนา)
____________________
โรคเนื้องอก Epithelioma
____________________
กุ้งที่พบเนื้องอกชนิดนี้คือ Litopenaeus vannamei จากฟาร์มแห่งหนึ่งในรัฐ Sonara ประเทศเม็กซิโก พบเนื้องอกนี้บนเปลือกกุ้งส่วนที่คลุมเหงือกทั้งสองข้าง ลักษณะเป็นเนื้องอกชนิดไม่รุนแรงและประกอบด้วยเซลล์หลายชนิด ได้แก่ เซลล์เยื่อบุคิวติเคิลและตาข่ายคิวติเคิลในชั้นใต้คิวติเคิล และเนื้อเยื่อเกี่ยวพันใต้คิวติเคิล (ข้อมูลจาก Aquaculture Pathology Laboratory มหาวิทยาอะริโซนา)
______________________________
โรคมะเร็ง Hematopoietic blastoma
______________________________
กุ้งที่พบมะเร็งชนิดนี้คือ Litopenaeus vannamei เป็นกุ้งโตเต็มวัยตัวผู้และตัวเมีย จากฟาร์มเพาะเลี้ยงพ่อแม่พันธุ์ของสถาบันทางสมุทรศาสตร์ (Oceanic Institute) ในรัฐฮาวาย ประเทศสหรัฐอเมริกา (กุ้งทั้งสองตัวนี้พบเชื้อไวรัส IHHNV ด้วย) คุณสมบัติของมะเร็งชนิดนี้ ได้แก่ 1) เกิด hypertrophy อย่างมากของเนื้อเยื่อฮีมาโตปอยอีติก (hematopoietic nodules) 2) มีการรุกรานเนื้อเยื่อข้างเคียง 3) เกิด metastasis และการเจริญไปยังเนื้อเยื่อที่อยู่ไกลออกไป 4) cellular anaplasia และ hyperplasia 5) giant uni-nucleated และ multi-nucleated cells 6) เซลล์มีการแบ่งตัวแบบไมโตซิสสูงมาก และมี mitotic figures สูง และ 7) เป็น malignant tumor (ข้อมูลจาก Aquaculture Pathology Laboratory มหาวิทยาอะริโซนา)
_________________________________________
โรคมะเร็ง Hemocytic lymphoma หรือ Leukemia
_________________________________________
กุ้งที่พบมะเร็งชนิดนี้คือ Litopenaeus vannamei เป็นกุ้งโตเต็มวัยตัวผู้จากฟาร์มเลี้ยงกุ้ง ในประเทศโคลัมเบีย หากมองด้วยตาเปล่าจะไม่เห็นลักษณะผิดปกติ แต่พบว่ามะเร็งชนิดนี้แพร่ไปตามระบบต่างๆในตัวกุ้ง คือพบที่ฮีโมซีล (hemocoel) และเนื้อเยื่อเกี่ยวพันชนิดหลวม ด้วยเหตุนี้จึงจัดเป็นมะเร็ง (malignant tumor) (ข้อมูลจาก Aquaculture Pathology Laboratory มหาวิทยาอะริโซนา)
_______________________________________
โรคมะเร็ง Fibrosarcoma ของ Lymphoid organ
_______________________________________
กุ้งที่พบมะเร็งชนิดนี้คือ Litopenaeus vannamei เป็นกุ้งโตเต็มวัยตัวเมียจากฟาร์มเลี้ยงกุ้ง ในประเทศเม็กซิโก หากมองด้วยตาเปล่าจะไม่เห็นลักษณะผิดปกติ แต่พบว่ามะเร็งชนิดนี้ ซึ่งมีต้นกำเนิดมาจากอวัยวะลิมฟอยด์ (lymphoid organ) มีการแพร่ไปตามระบบต่างๆ ในตัวกุ้ง คือพบที่เหงือก เฮปปาโตแพนเครียส เนื้อเยื่อเกี่ยวพัน และอื่นๆ ด้วยเหตุนี้จึงจัดเป็นมะเร็ง (malignant tumor) (ข้อมูลจาก Aquaculture Pathology Laboratory มหาวิทยาอะริโซนา)
___________________________
โรคมะเร็ง Ectodermal teratoma
___________________________
กุ้งที่พบมะเร็งชนิดนี้คือ Palaemon japonicus (grass shrimp) เป็นกุ้งจับจากธรรมชาติแล้วนำมาเลี้ยง หากมองด้วยตาเปล่าจะไม่เห็นลักษณะผิดปกติ แต่จากการตรวจด้วยกล้องจุลทรรศน์พบเนื้อร้ายนี้ในชั้น ectoderm ของเอมบริโอ โดยมีความชุกโรค 10 ถึง 26 เปอร์เซนต์ ของเอมบริโอกุ้งที่ได้จากกุ้งตัวเมีย 3 ตัว นอกจากนี้ยังพบว่าเอมบริโอที่มีมะเร็งชนิดนี้มีขนาด 0.35 ? 0.11 x 0.52 ? 0.11 มม. ซึ่งเล็กกว่าเอมบริโอปกติซึ่งมีขนาด 0.40 ? 0.13 x 0.52 ? 0.12 มม. ลักษณะของ Ectodermal teratomas ได้แก่ 1) โครงสร้างของเนื้อเยื่อเสียไป 2) cellular anaplasia และ hyperplasia 3) giant uni-nucleated และ multi-nucleated cells 4) เซลล์มีการแบ่งตัวแบบไมโตซิสสูงมาก และมี mitotic figures สูง และ 5) เป็น malignant tumor (ข้อมูลจาก Aquaculture Pathology Laboratory มหาวิทยาอะริโซนา)
_____________________________________________
โรคลำไส้และไขประสาทโต (Gut and nerve syndrome)
_____________________________________________
โรคลำไส้และไขประสาทโตเป็นโรคในกลุ่ม Proliferative diseases รอยโรคของโรคนี้อยู่ที่ลำไส้ส่วนกลางและไขประสาท (ventral nerve cord) ซึ่งมี 2 แบบได้แก่ 1) การขยายขนาดของเซลล์ (hypertrophy) ที่ชั้น basement membrane ของลำไส้ส่วนกลางและการเพิ่มจำนวนของเซลล์ (hyperplasia) ที่ชั้น epineurium ของไขประสาท กุ้งที่พบรอยโรคนี้ได้แก่ Marsupenaeus japonicus ในรัฐฮาวาย สหรัฐอเมริกา ประเทศฝรั่งเศส และญี่ปุ่น และในกุ้ง Melicerus plebejus ในประเทศออสเตรเลีย และ 2) การขยายขนาดของเซลล์ (hypertrophy) ที่ชั้น serosal connective tissue ของลำไส้ส่วนกลางและการเพิ่มจำนวนของเซลล์ (hyperplasia) ที่ชั้น epineurium ของไขประสาท กุ้งที่พบรอยโรคนี้คือกุ้ง Fenneropenaeus merguiensis ในประเทศสิงคโปร์และมาเลเซีย ลักษณะของรอยโรคที่ลำไส้ส่วนกลาง พบว่าประกอบด้วย เส้นใยคอลลาเจนหนาๆ (ย้อมตดสี Masson’s trichrome และ PAS) และเซลล์ไฟโบรไซต์ (fibrocytes) ที่ชั้น serosa ของลำไส้ส่วนกลาง สำหรับรอยโรคที่ไขประสาท พบว่าประกอบด้วยเส้นใยคอลลาเจนหลายชั้น (ย้อมติดสี Masson’s trichrome เช่นกัน) และเซลล์ไฟโบรไซต์ที่ชั้น epineurium ของไขประสาท นอกจากนี้ยังพบเซลล์แกรนูโลไซต์ (granulocytes) ระหว่างชั้นคอลลาเจนด้วย สำหรับกุ้ง M. japonicus นั้น พบว่าเลี้ยงอยู่ในระบบราง (raceway) ที่หนาแน่น แสดงอาการการเจริญเติบโตต่ำและการตายอย่างเรื้อรัง กล่าวคือมีน้ำหนักเฉลี่ย 4 ถึง 6 กรัม เมื่ออายุ 120 วัน (0.3 ก./สัปดาห์) และมีการตายสะสมประมาณ 100 เปอร์เซนต์ ที่ประมาณวันที่ 125 นอกจากนี้ยังพบว่ากุ้งมีการติดเชื้อรา Fusarium solani ด้วย (ความชุกโรคสูง) (ข้อมูลจาก Aquaculture Pathology Laboratory มหาวิทยาอะริโซนา)
============
โรคทุพโภชนาการ
============
___________________________________
โรคตะคริว (Cramped muscle syndrome)
___________________________________
โรคตะคริวมีอาการเฉียบพลันเฉพาะ คือ การหดตัวอย่างรุนแรงของกล้ามเนื้อท้อง และยังมีกล้ามเนื้อสีขาวซึ่งอาจเกิดขึ้นเฉพาะจุดหรือทั่วร่างกาย โรคตะคริวมีสาเหตุมาจากการขาดธาตุโปแตสเซี่ยม และยังสันนิษฐานว่าอาจเกิดจากสัดส่วนระหว่างโปแตสเซี่ยมและแคลเซี่ยมขาดสมดุลย์ และอาจมีปัจจัยมาจากแมกนีเซี่ยมด้วย รอยโรคทางจุลพยาธิวิทยาคือ necrosis of muscle fibers วิธีป้องกันและรักษาได้แก่ การให้แร่ธาตุโปแตสเซี่ยมและแมกนีเซี่ยมเสริมอาหาร และการใช้ปุ๋ยที่มีโปแตสเซี่ยม เช่น โปแตส (potash) โรยก้นบ่อ
______________________________________________
โรคขาดวิตามินซี (Ascobic acid deficiency syndrome)
______________________________________________
โรคขาดวิตามินซี (รายงานบางฉบับเรียกว่า Black death disease) พบได้ในกุ้งหลาย สปีชีส์ ได้แก่ Farfantepenaeus californiensis (ประเทศเม็กซิโก) Fa. aztecus (รัฐเท็กซัส ประเทศสหรัฐอเมริกา) Marsupenaeus japonicus (ประเทศญี่ปุ่นและตาฮิติ) และ Penaeus semisulcatus (ประเทศคูเวต) อาการของโรคนี้โดยเฉพาะในกุ้งวัยรุ่น ได้แก่ ตายและอวัยวะและเนื้อเยื่อหลายแห่งมีสีดำ (รูปที่ 20) เช่น เนื้อเยื่อใต้คิวติเคิล ลำไส้ส่วนปลาย ก้านตา (eye stalk) และเหงือก เนื่องจากปริมาณคอลลาเจน ซึ่งวัดได้จากปริมาณ hydroxyproline ที่ลดลง นอกจากนี้ยังทำให้อัตราการเจริญเติบโตลดลง อัตราการแลกเนื้อ (FCR) สูงขึ้น ความต้านทานต่อความเครียดและโรคลดลง และมีการชะลอตัวของการหายของบาด
แผล การป้องกันโรคนี้ คือ ให้วิตามินซีต่อวันในปริมาณ 20 มก./กก. ของน้ำหนักตัว (20 ppm)

รูปที่ 20 จุดดำตามเนื้อเยื่อต่างๆ เนื่องจากการขาดวิตามินซี
นอกจากนี้ยังอาจพบโรคทุพโภชนาการอื่นๆ เช่น โรคขาดแร่ธาตุซีลีเนียม (selenium deficiency หรือ white muscle disease) โรคขาดอาหารเรื้อรัง (chronic underfeeding) เป็นต้น
ที่มา : คู่มือการตรวจและวินิจฉัยโรคในกุ้งทะเล โดย นายสัตวแพทย์ ดร.ทินรัตน์ ศรีสุวรรณ์ ศูนย์วิจัยและชันสูตรโรคสัตว์น้ำ สถาบันสุขภาพสัตว์แห่งชาติ เผยแพร่ใน Thai-NIAH eJournal : ISSN 1905-5048, http://www.dld.go.th/niah, V3 N2 (September – December 2008) หน้า 89 - 121.









กระทรวงเกษตรและสหกรณ์
กรมปศุสัตว์