กลุ่มพยาธิวิทยา
ติดต่อ : 0 2579 0570
email :
โครงสร้าง
- ห้องปฏิบัติการผ่าซาก
- ห้องปฏิบัติการจุลพยาธิวิทยา
- ห้องปฏิบัติการโลหิตวิทยา
- ห้องปฏิบัติการอิมมูโนพยาธิวิทยา
- ห้องปฏิบัติการอิเล็กตรอนไมโครสโคป
ภารกิจ
- ศึกษา ค้นคว้า วิจัย การเกิดพยาธิสภาพของโรคในปศุสัตว์ และพัฒนาเทคนิคการตรวจวินิจฉัยและชันสูตรโรคด้านพยาธิวิทยาให้มีประสิทธิภาพ และได้มาตรฐานสากล
- เป็นห้องปฏิบัติการอ้างอิงทางด้านพยาธิวิทยาและดำเนินการวินิจฉัยขันสูตรโรคทางพยาธิวิทยา
- ศึกษา ค้นคว้า วิจัยและพัฒนาการผลิตชีวสารที่มีความจำเพาะต่อวิธีการตรวจทางพยาธิวิทยา
- ศึกษา วิจัยด้านชีวโมเลกุล ทางพยาธิวิทยา
- ให้คำปรึกษา แนะนำ และถ่ายทอดเทคโนโลยีในการตรวจสอบทางห้องปฏิบัติการพยาธิวิทยา
- ปฏิบัติงานร่วมกับ หรือสนับสนุนการปฏิบัติงานของหน่วยงานอื่นที่เกี่ยวข้อง หรือที่ได้รับมอบหมาย
พันธกิจ
สนับสนุนพัฒนางานวิจัยด้านการชันสูตรและงานวิจัยด้านพยาธิวิทยา ส่งเสริม สนับสนุน และพัฒนาบุคลากร ให้บริการข้อมูลทางวิชาการและถ่ายทอดเทคโนโลยีด้านพยาธิวิทยา
หน้าที่ ความรับผิดชอบ
เป็นห้องปฏิบัติการอ้างอิงทางด้านพยาธิวิทยา และดำเนินการวินิจฉัยชันสูตรโรคทางพยาธิวิทยา ศึกษา ค้นคว้า วิจัย การเกิดพยาธิสภาพของโรค และพัฒนาเทคนิคการตรวจวินิจฉัยและชันสูตรโรคด้านพยาธิวิทยาให้มีประสิทธิภาพ ได้มาตรฐานสากล ศึกษา ค้นคว้า วิจัย และพัฒนาการผลิตชีวสารที่มีความจำเพาะต่อวิธีการตรวจทางพยาธิวิทยา และด้านชีวโมเลกุลทางด้านพยาธิวิทยา รวมถึงการให้คำปรึกษา แนะนำ ถ่ายทอดเทคโนโลยีในการตรวจสอบทางห้องปฏิบัติการพยาธิวิทยา
นายเจษฎา รัตโณภาส
นายสัตวแพทย์ชำนาญการพิเศษ
หัวหน้ากลุ่มพยาธิวิทยา
นายวรา วรงค์
นายสัตวแพทย์ชำนาญการพิเศษ
นางนวพร วัดเดลล์
นายสัตวแพทย์ชำนาญการพิเศษ
น.ส.ฐิติกานต์ จิรกิตติสุนทร
นักวิทยาศาสตร์ชำนาญการ
นางสาวภูริดา ศรีพิพัฒนกุล
นายสัตวแพทย์ชำนาญการพิเศษ
นางสาวปุษยาพร สวัสดิสรรพ์
นักวิทยาศาสตร์การแพทย์ปฏิบัติการ
นางสาวจงกลนี ชูศรี
นักวิชาการสัตวบาล
นางสาวอรรัมภา พิสิฐวรกุล
นักวิชาการสัตวบาล
นายสมศักดิ์ สุขบุรี
คนงานห้องทดลอง
นางสาวปรียานุช สากำปัง
นักวิทยาศาสตร์
นางสาวรุ่งอรุณ ยอดรัก
นักวิทยาศาสตร์
นางสาววัชรีภรณ์ สตารัตน์
นักวิทยาศาสตร์การแพทย์
นายพรชัย เจริญทรัพย์
นักวิทยาศาสตร์การแพทย์
นายกฤษดา เปี่ยมจิตต์
พนักงานห้องปฏิบัติการ
ISO 17025
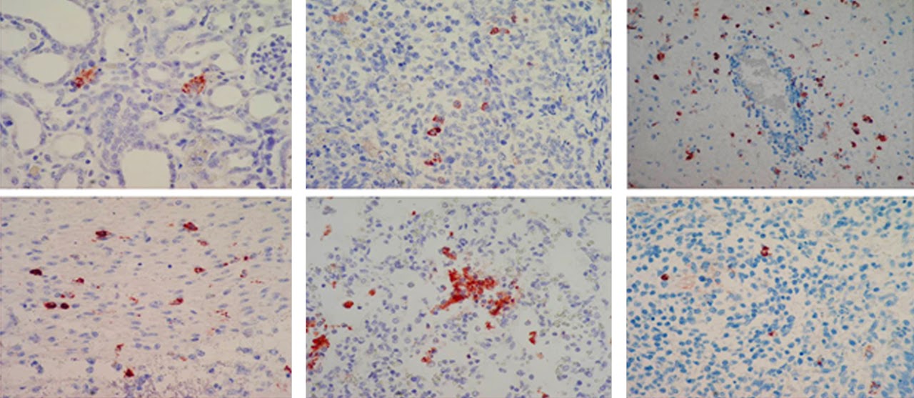
การตรวจหา Inclusion body ของเชื้อ Porcine Circovirus จากอวัยวะในระบบน้ําเหลืองสุกรโดยวิธีทางพยาธิวิทยา
ห้องปฏิบัติการผ่าซาก (necropsy)
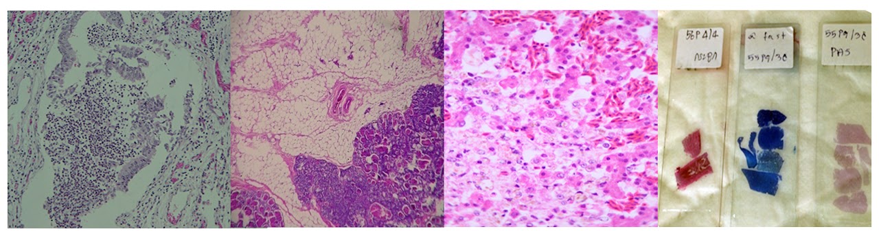
ห้องปฏิบัติการจุลพยาธิวิทยา (necropsy)
ห้องปฏิบัติการโลหิตวิทยา (Hematology)
ห้องปฏิบัติการอิมมูโนพยาธิวิทยา (Immunohistology)
ห้องปฏิบัติการอิเล็กตรอนไมโครสโคป (In situ hybridization)
Training









กระทรวงเกษตรและสหกรณ์
กรมปศุสัตว์